Surfactant Protein A antibody

Cat. No. GTX54714
Cat. No.  GTX54714
Anti-Surfactant Protein A antibody used in Western Blot (WB). GTX54714
GTX54714 WB Image

WB analysis of various sample lysates using GTX54714 Surfactant Protein A antibody.
Dilution : 1:1000
Loading : 25μg per lane

1 / 4
Anti-Surfactant Protein A antibody used in IHC (Paraffin sections) (IHC-P). GTX54714
GTX54714 IHC-P Image

IHC-P analysis of rat lung tissue using GTX54714 Surfactant Protein A antibody.
Dilution : 1:50

2 / 4
Anti-Surfactant Protein A antibody used in IHC (Paraffin sections) (IHC-P). GTX54714
GTX54714 IHC-P Image

IHC-P analysis of mouse lung tissue using GTX54714 Surfactant Protein A antibody.
Dilution : 1:50

3 / 4
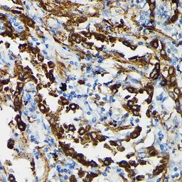
Anti-Surfactant Protein A antibody used in IHC (Paraffin sections) (IHC-P). GTX54714
GTX54714 IHC-P Image

IHC-P analysis of human lung cancer tissue using GTX54714 Surfactant Protein A antibody.
Dilution : 1:50

4 / 4
Anti-Surfactant Protein A antibody used in Western Blot (WB). GTX54714
Anti-Surfactant Protein A antibody used in IHC (Paraffin sections) (IHC-P). GTX54714
Anti-Surfactant Protein A antibody used in IHC (Paraffin sections) (IHC-P). GTX54714
Anti-Surfactant Protein A antibody used in IHC (Paraffin sections) (IHC-P). GTX54714
  • Host
    Rabbit
  • Clonality
    Polyclonal
  • Isotype
    IgG
  • Applications
    WB IHC-P
  • Reactivity
    Human, Mouse, Rat
See all Surfactant Protein A products