Surfactant protein A2 antibody

Cat. No. GTX34193
Cat. No.  GTX34193
Anti-Surfactant protein A2 antibody used in IHC (Paraffin sections) (IHC-P). GTX34193
GTX34193 IHC-P Image

IHC-P analysis of human lung cancer tissue using GTX34193 Surfactant protein A2 antibody.
Dilution : 1:100

1 / 3
Anti-Surfactant protein A2 antibody used in IHC (Paraffin sections) (IHC-P). GTX34193
GTX34193 IHC-P Image

IHC-P analysis of human lung cancer tissue using GTX34193 Surfactant protein A2 antibody.
Dilution : 1:100

2 / 3
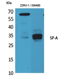
Anti-Surfactant protein A2 antibody used in Western Blot (WB). GTX34193
GTX34193 WB Image

WB analysis of 22RV-1 and SW480 cell lysates using GTX34193 Surfactant protein A2 antibody.

3 / 3
Anti-Surfactant protein A2 antibody used in IHC (Paraffin sections) (IHC-P). GTX34193
Anti-Surfactant protein A2 antibody used in IHC (Paraffin sections) (IHC-P). GTX34193
Anti-Surfactant protein A2 antibody used in Western Blot (WB). GTX34193
  • Host
    Rabbit
  • Clonality
    Polyclonal
  • Isotype
    IgG
  • Applications
    WB IHC-P
  • Reactivity
    Human
See all Surfactant protein A2 products