TACC3 antibody [6F1]

Cat. No. GTX83531
Cat. No.  GTX83531
Anti-TACC3 antibody [6F1] used in Western Blot (WB). GTX83531
GTX83531 WB Image

WB analysis of various cell lines using GTX83531 TACC3 antibody [6F1].
Loading : 35 ug per lane

1 / 12
Anti-TACC3 antibody [6F1] used in Flow cytometry (FCM). GTX83531
GTX83531 FCM Image

FACS analysis of HEK293T cells transfected with either TACC3 plasmid(Red) or empty vector control plasmid(Blue) using GTX83531 TACC3 antibody [6F1].

2 / 12
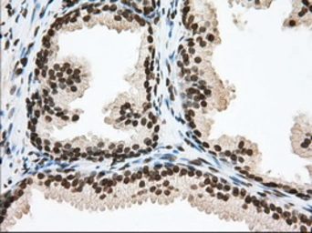
Anti-TACC3 antibody [6F1] used in IHC (Paraffin sections) (IHC-P). GTX83531
GTX83531 IHC-P Image

IHC-P analysis of human prostate carcinoma tissue using GTX83531 TACC3 antibody [6F1].
Antigen retrieval : Heat-induced epitope retrieval by 10mM citrate buffer, pH6.0, 100ºC for 10min.
Dilution : 1:50

3 / 12
Anti-TACC3 antibody [6F1] used in Immunocytochemistry/ Immunofluorescence (ICC/IF). GTX83531
GTX83531 ICC/IF Image

ICC/IF analysis of COS7 cells transiently transfected with TACC3 plasmid using GTX83531 TACC3 antibody [6F1].

4 / 12
Anti-TACC3 antibody [6F1] used in IHC (Paraffin sections) (IHC-P). GTX83531
GTX83531 IHC-P Image

IHC-P analysis of human lung tissue using GTX83531 TACC3 antibody [6F1].
Antigen retrieval : Heat-induced epitope retrieval by 10mM citrate buffer, pH6.0, 100ºC for 10min.
Dilution : 1:50

5 / 12
Anti-TACC3 antibody [6F1] used in Western Blot (WB). GTX83531
GTX83531 WB Image

WB analysis of wild type and TACC3 knock out 293T cell lysate(10μg per lane) using GTX83531 TACC3 antibody [6F1].
Dilution : 1:200

6 / 12
Anti-TACC3 antibody [6F1] used in IHC (Paraffin sections) (IHC-P). GTX83531
GTX83531 IHC-P Image

IHC-P analysis of human kidney tissue using GTX83531 TACC3 antibody [6F1].
Antigen retrieval : Heat-induced epitope retrieval by 10mM citrate buffer, pH6.0, 100ºC for 10min.
Dilution : 1:50

7 / 12
Anti-TACC3 antibody [6F1] used in IHC (Paraffin sections) (IHC-P). GTX83531
GTX83531 IHC-P Image

IHC-P analysis of human prostate tissue using GTX83531 TACC3 antibody [6F1].
Antigen retrieval : Heat-induced epitope retrieval by 10mM citrate buffer, pH6.0, 100ºC for 10min.
Dilution : 1:50

8 / 12
Anti-TACC3 antibody [6F1] used in IHC (Paraffin sections) (IHC-P). GTX83531
GTX83531 IHC-P Image

IHC-P analysis of human pancreas tissue using GTX83531 TACC3 antibody [6F1].
Antigen retrieval : Heat-induced epitope retrieval by 10mM citrate buffer, pH6.0, 100ºC for 10min.
Dilution : 1:50

9 / 12
Anti-TACC3 antibody [6F1] used in Western Blot (WB). GTX83531
GTX83531 WB Image

WB analysis of HEK293T cells transfected with TACC3 plasmid (Right) or empty vector (Left) for 48 hrs using GTX83531 TACC3 antibody [6F1].
Loading : 5 ug per lane

10 / 12
Anti-TACC3 antibody [6F1] used in IHC (Paraffin sections) (IHC-P). GTX83531
GTX83531 IHC-P Image

IHC-P analysis of human liver tissue using GTX83531 TACC3 antibody [6F1].
Antigen retrieval : Heat-induced epitope retrieval by 10mM citrate buffer, pH6.0, 100ºC for 10min.
Dilution : 1:50

11 / 12
Anti-TACC3 antibody [6F1] used in IHC (Paraffin sections) (IHC-P). GTX83531
GTX83531 IHC-P Image

IHC-P analysis of human colon tissue using GTX83531 TACC3 antibody [6F1].
Antigen retrieval : Heat-induced epitope retrieval by 10mM citrate buffer, pH6.0, 100ºC for 10min.
Dilution : 1:50

12 / 12
Anti-TACC3 antibody [6F1] used in Western Blot (WB). GTX83531
Anti-TACC3 antibody [6F1] used in Flow cytometry (FCM). GTX83531
Anti-TACC3 antibody [6F1] used in IHC (Paraffin sections) (IHC-P). GTX83531
Anti-TACC3 antibody [6F1] used in Immunocytochemistry/ Immunofluorescence (ICC/IF). GTX83531
Anti-TACC3 antibody [6F1] used in IHC (Paraffin sections) (IHC-P). GTX83531
Anti-TACC3 antibody [6F1] used in Western Blot (WB). GTX83531
Anti-TACC3 antibody [6F1] used in IHC (Paraffin sections) (IHC-P). GTX83531
Anti-TACC3 antibody [6F1] used in IHC (Paraffin sections) (IHC-P). GTX83531
Anti-TACC3 antibody [6F1] used in IHC (Paraffin sections) (IHC-P). GTX83531
Anti-TACC3 antibody [6F1] used in Western Blot (WB). GTX83531
Anti-TACC3 antibody [6F1] used in IHC (Paraffin sections) (IHC-P). GTX83531
Anti-TACC3 antibody [6F1] used in IHC (Paraffin sections) (IHC-P). GTX83531
  • Host
    Mouse
  • Clonality
    Monoclonal
  • Clone Name
    6F1
  • Isotype
    IgG1
  • Applications
    WB ICC/IF IHC-P FCM
  • Reactivity
    Human, Monkey
See all TACC3 products