TACC3 antibody [7B11]

Cat. No. GTX83533
Cat. No.  GTX83533
Anti-TACC3 antibody [7B11] used in Western Blot (WB). GTX83533
GTX83533 WB Image

WB analysis of HEK293T cells transfected with TACC3 plasmid (Right) or empty vector (Left) for 48 hrs using GTX83533 TACC3 antibody [7B11].
Loading : 5 ug per lane

1 / 10
Anti-TACC3 antibody [7B11] used in Flow cytometry (FCM). GTX83533
GTX83533 FCM Image

FACS analysis of Jurkat cells using GTX83533 TACC3 antibody [7B11].
Red : Primary antibody
Blue : Negative control antibody

2 / 10
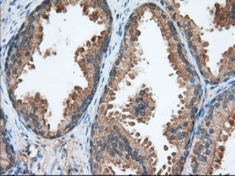
Anti-TACC3 antibody [7B11] used in IHC (Paraffin sections) (IHC-P). GTX83533
GTX83533 IHC-P Image

IHC-P analysis of human prostate tissue using GTX83533 TACC3 antibody [7B11].
Antigen retrieval : Heat-induced epitope retrieval by 10mM citrate buffer, pH6.0, 100ºC for 10min.
Dilution : 1:50

3 / 10
Anti-TACC3 antibody [7B11] used in Immunocytochemistry/ Immunofluorescence (ICC/IF). GTX83533
GTX83533 ICC/IF Image

ICC/IF analysis of COS7 cells transiently transfected with TACC3 plasmid using GTX83533 TACC3 antibody [7B11].

4 / 10
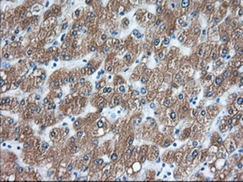
Anti-TACC3 antibody [7B11] used in IHC (Paraffin sections) (IHC-P). GTX83533
GTX83533 IHC-P Image

IHC-P analysis of human liver tissue using GTX83533 TACC3 antibody [7B11].
Antigen retrieval : Heat-induced epitope retrieval by 10mM citrate buffer, pH6.0, 100ºC for 10min.
Dilution : 1:50

5 / 10
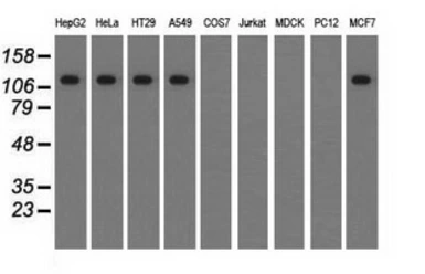
Anti-TACC3 antibody [7B11] used in Western Blot (WB). GTX83533
GTX83533 WB Image

WB analysis of various cell lines using GTX83533 TACC3 antibody [7B11].
Loading : 35 ug per lane

6 / 10
Anti-TACC3 antibody [7B11] used in IHC (Paraffin sections) (IHC-P). GTX83533
GTX83533 IHC-P Image

IHC-P analysis of human ovary adenocarcinoma tissue using GTX83533 TACC3 antibody [7B11].
Antigen retrieval : Heat-induced epitope retrieval by 10mM citrate buffer, pH6.0, 100ºC for 10min.
Dilution : 1:50

7 / 10
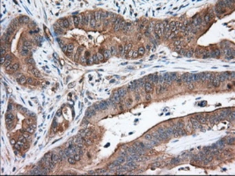
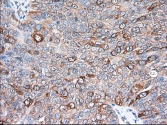
Anti-TACC3 antibody [7B11] used in IHC (Paraffin sections) (IHC-P). GTX83533
GTX83533 IHC-P Image

IHC-P analysis of human colon adenocarcinoma tissue using GTX83533 TACC3 antibody [7B11].
Antigen retrieval : Heat-induced epitope retrieval by 10mM citrate buffer, pH6.0, 100ºC for 10min.
Dilution : 1:50

8 / 10
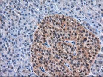
Anti-TACC3 antibody [7B11] used in IHC (Paraffin sections) (IHC-P). GTX83533
GTX83533 IHC-P Image

IHC-P analysis of human pancreas tissue using GTX83533 TACC3 antibody [7B11].
Antigen retrieval : Heat-induced epitope retrieval by 10mM citrate buffer, pH6.0, 100ºC for 10min.
Dilution : 1:50

9 / 10
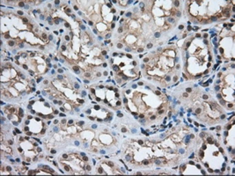
Anti-TACC3 antibody [7B11] used in IHC (Paraffin sections) (IHC-P). GTX83533
GTX83533 IHC-P Image

IHC-P analysis of human kidney tissue using GTX83533 TACC3 antibody [7B11].
Antigen retrieval : Heat-induced epitope retrieval by 10mM citrate buffer, pH6.0, 100ºC for 10min.
Dilution : 1:50

10 / 10
Anti-TACC3 antibody [7B11] used in Western Blot (WB). GTX83533
Anti-TACC3 antibody [7B11] used in Flow cytometry (FCM). GTX83533
Anti-TACC3 antibody [7B11] used in IHC (Paraffin sections) (IHC-P). GTX83533
Anti-TACC3 antibody [7B11] used in Immunocytochemistry/ Immunofluorescence (ICC/IF). GTX83533
Anti-TACC3 antibody [7B11] used in IHC (Paraffin sections) (IHC-P). GTX83533
Anti-TACC3 antibody [7B11] used in Western Blot (WB). GTX83533
Anti-TACC3 antibody [7B11] used in IHC (Paraffin sections) (IHC-P). GTX83533
Anti-TACC3 antibody [7B11] used in IHC (Paraffin sections) (IHC-P). GTX83533
Anti-TACC3 antibody [7B11] used in IHC (Paraffin sections) (IHC-P). GTX83533
Anti-TACC3 antibody [7B11] used in IHC (Paraffin sections) (IHC-P). GTX83533
  • Host
    Mouse
  • Clonality
    Monoclonal
  • Clone Name
    7B11
  • Isotype
    IgG2a
  • Applications
    WB ICC/IF IHC-P FCM
  • Reactivity
    Human
See all TACC3 products