TAF15 antibody [27T75]

Cat. No. GTX05091
Cat. No.  GTX05091
Anti-TAF15 antibody [27T75] used in IHC (Paraffin sections) (IHC-P). GTX05091
GTX05091 IHC-P Image

IHC-P analysis of human spleen tissue using GTX05091 TAF15 antibody [27T75].
Antigen retrieval : Heat mediated antigen retrieval performed with EDTA buffer (pH 8.0)
Dilution : 1:50

1 / 9
Anti-TAF15 antibody [27T75] used in Immunocytochemistry/ Immunofluorescence (ICC/IF). GTX05091
GTX05091 ICC/IF Image

ICC/IF analysis of PFA fixed HeLa cells using GTX05091 TAF15 antibody [27T75].
Green : Primary antibody
Orange : beta tubulin
Antigen retrieval : Enzyme antigen retrieval reagent
Dilution : 1:50

2 / 9
Anti-TAF15 antibody [27T75] used in IHC (Paraffin sections) (IHC-P). GTX05091
GTX05091 IHC-P Image

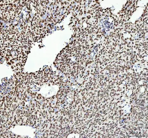
IHC-P analysis of diffuse large B-cell lymphoma of human intestine tissue using GTX05091 TAF15 antibody [27T75].
Antigen retrieval : Heat mediated antigen retrieval performed with EDTA buffer (pH 8.0)
Dilution : 1:50

3 / 9
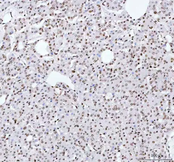
Anti-TAF15 antibody [27T75] used in IHC (Paraffin sections) (IHC-P). GTX05091
GTX05091 IHC-P Image

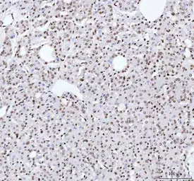
IHC-P analysis of human liver cancer tissue using GTX05091 TAF15 antibody [27T75].
Antigen retrieval : Heat mediated antigen retrieval performed with EDTA buffer (pH 8.0)
Dilution : 1:50

4 / 9
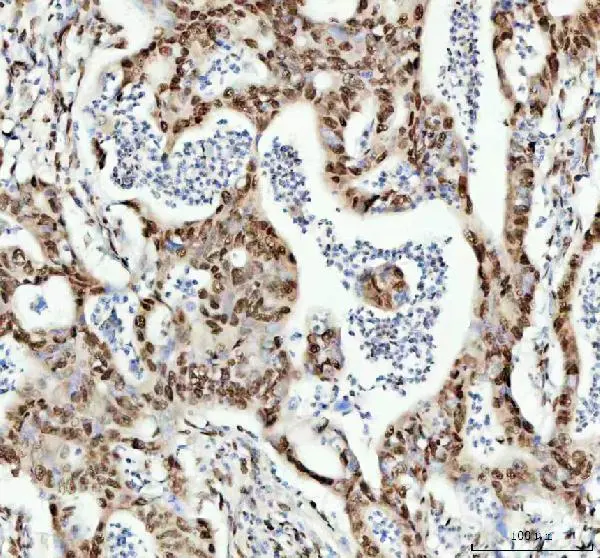
Anti-TAF15 antibody [27T75] used in IHC (Paraffin sections) (IHC-P). GTX05091
GTX05091 IHC-P Image

IHC-P analysis of human placenta tissue using GTX05091 TAF15 antibody [27T75].
Antigen retrieval : Heat mediated antigen retrieval performed with EDTA buffer (pH 8.0)
Dilution : 1:50

5 / 9
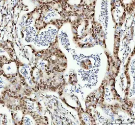
Anti-TAF15 antibody [27T75] used in IHC (Paraffin sections) (IHC-P). GTX05091
GTX05091 IHC-P Image

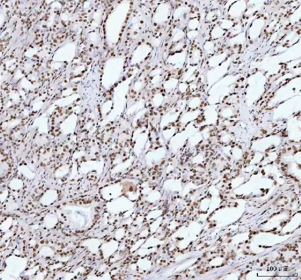
IHC-P analysis of human prostate cancer tissue using GTX05091 TAF15 antibody [27T75].
Antigen retrieval : Heat mediated antigen retrieval performed with EDTA buffer (pH 8.0)
Dilution : 1:50

6 / 9
Anti-TAF15 antibody [27T75] used in IHC (Paraffin sections) (IHC-P). GTX05091
GTX05091 IHC-P Image

IHC-P analysis of human cervix squamous cell carcinoma tissue using GTX05091 TAF15 antibody [27T75].
Antigen retrieval : Heat mediated antigen retrieval performed with EDTA buffer (pH 8.0)
Dilution : 1:50

7 / 9
Anti-TAF15 antibody [27T75] used in Western Blot (WB). GTX05091
GTX05091 WB Image

WB analysis of various samples using GTX05091 TAF15 antibody [27T75].
Dilution : 1:500
Loading : 30μg

8 / 9
Anti-TAF15 antibody [27T75] used in IHC (Paraffin sections) (IHC-P). GTX05091
GTX05091 IHC-P Image

IHC-P analysis of human colorectal adenocarcinoma tissue using GTX05091 TAF15 antibody [27T75].
Antigen retrieval : Heat mediated antigen retrieval performed with EDTA buffer (pH 8.0)
Dilution : 1:50

9 / 9
Anti-TAF15 antibody [27T75] used in IHC (Paraffin sections) (IHC-P). GTX05091
Anti-TAF15 antibody [27T75] used in Immunocytochemistry/ Immunofluorescence (ICC/IF). GTX05091
Anti-TAF15 antibody [27T75] used in IHC (Paraffin sections) (IHC-P). GTX05091
Anti-TAF15 antibody [27T75] used in IHC (Paraffin sections) (IHC-P). GTX05091
Anti-TAF15 antibody [27T75] used in IHC (Paraffin sections) (IHC-P). GTX05091
Anti-TAF15 antibody [27T75] used in IHC (Paraffin sections) (IHC-P). GTX05091
Anti-TAF15 antibody [27T75] used in IHC (Paraffin sections) (IHC-P). GTX05091
Anti-TAF15 antibody [27T75] used in Western Blot (WB). GTX05091
Anti-TAF15 antibody [27T75] used in IHC (Paraffin sections) (IHC-P). GTX05091
  • Host
    Rabbit
  • Clonality
    Monoclonal
  • Clone Name
    27T75
  • Isotype
    IgG
  • Applications
    WB ICC/IF IHC-P FCM
  • Reactivity
    Human, Mouse, Rat
See all TAF15 products