TAP2 antibody

Cat. No. GTX16394
Cat. No.  GTX16394
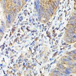
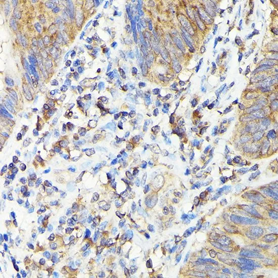
Anti-TAP2 antibody used in IHC (Paraffin sections) (IHC-P). GTX16394
GTX16394 IHC-P Image

IHC-P analysis of human colon carcinoma tissue using GTX16394 TAP2 antibody.
Dilution : 1:100

1 / 3
Anti-TAP2 antibody used in Western Blot (WB). GTX16394
GTX16394 WB Image

WB analysis of various sample lysates using GTX16394 TAP2 antibody.
Dilution : 1:1000
Loading : 25μg per lane

2 / 3
Anti-TAP2 antibody used in Immunocytochemistry/ Immunofluorescence (ICC/IF). GTX16394
GTX16394 ICC/IF Image

ICC/IF analysis of U2OS cells using GTX16394 TAP2 antibody.
Blue : DAPI

3 / 3
Anti-TAP2 antibody used in IHC (Paraffin sections) (IHC-P). GTX16394
Anti-TAP2 antibody used in Western Blot (WB). GTX16394
Anti-TAP2 antibody used in Immunocytochemistry/ Immunofluorescence (ICC/IF). GTX16394
  • Host
    Rabbit
  • Clonality
    Polyclonal
  • Isotype
    IgG
  • Applications
    WB ICC/IF IHC-P
  • Reactivity
    Human, Mouse
See all TAP2 products