TARC antibody

Cat. No. GTX05179
Cat. No.  GTX05179
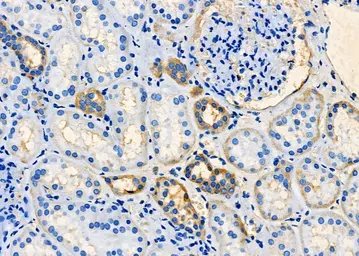
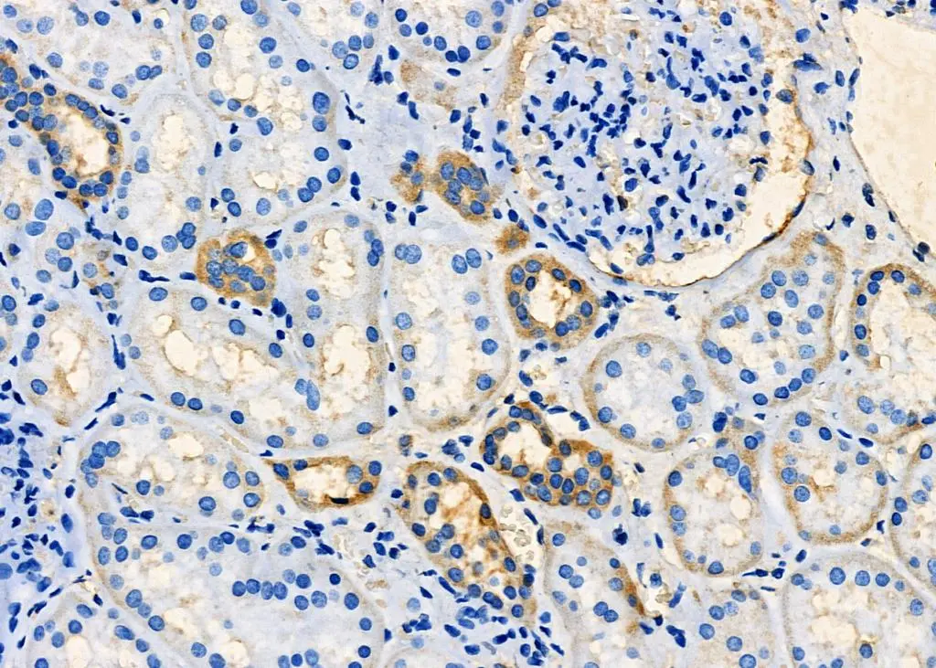
Anti-TARC antibody used in IHC (Paraffin sections) (IHC-P). GTX05179
GTX05179 IHC-P Image

IHC-P analysis of human kidney cancer and adjacent normal tissues using GTX05179 TARC antibody.
Antigen retrieval : Heat mediated antigen retrieval performed with Citrate Buffer.
Dilution : 1:100

1 / 2
Anti-TARC antibody used in Western Blot (WB). GTX05179
GTX05179 WB Image

WB analysis of LOVO whole cell lysate using GTX05179 TARC antibody.

2 / 2
Anti-TARC antibody used in IHC (Paraffin sections) (IHC-P). GTX05179
Anti-TARC antibody used in Western Blot (WB). GTX05179
  • Host
    Rabbit
  • Clonality
    Polyclonal
  • Isotype
    IgG
  • Applications
    WB IHC-P
  • Reactivity
    Human
See all TARC products