TAZ antibody

Cat. No. GTX134857
Cat. No.  GTX134857
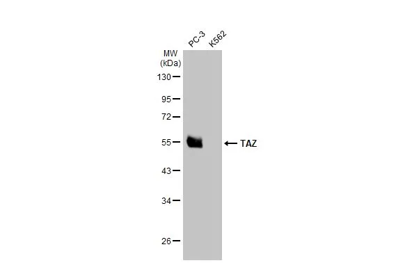
Anti-TAZ antibody used in Western Blot (WB). GTX134857
GTX134857 WB Image

Various whole cell extracts (30 μg) were separated by 10% SDS-PAGE, and the membrane was blotted with TAZ antibody (GTX134857) diluted at 1:3000. The HRP-conjugated anti-rabbit IgG antibody (GTX213110-01) was used to detect the primary antibody.

1 / 6
Anti-TAZ antibody used in IHC (Paraffin sections) (IHC-P). GTX134857
GTX134857 IHC-P Image

TAZ antibody detects TAZ protein at cytoplasm and nucleus by immunohistochemical analysis.
Sample: Paraffin-embedded mouse lung.
TAZ stained by TAZ antibody (GTX134857) diluted at 1:500.
Antigen Retrieval: Citrate buffer, pH 6.0, 15 min

2 / 6
Anti-TAZ antibody used in Immunocytochemistry/ Immunofluorescence (ICC/IF). GTX134857
GTX134857 ICC/IF Image

TAZ antibody detects TAZ protein at cytoplasm and nucleus by immunofluorescent analysis.
Sample: HeLa cells were fixed in 4% paraformaldehyde at RT for 15 min.
Green: TAZ stained by TAZ antibody (GTX134857) diluted at 1:500.
Red: alpha Tubulin, a cytoskeleton marker, stained by alpha Tubulin antibody [GT114] (GTX628802) diluted at 1:1000.
Blue: Fluoroshield with DAPI (GTX30920).

3 / 6
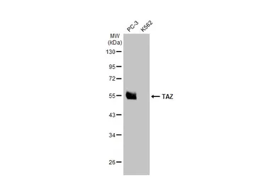
Anti-TAZ antibody used in Western Blot (WB). GTX134857
GTX134857 WB Image

Various whole cell extracts (30 μg) were separated by 10% SDS-PAGE, and the membrane was blotted with TAZ antibody (GTX134857) diluted at 1:3000. The HRP-conjugated anti-rabbit IgG antibody (GTX213110-01) was used to detect the primary antibody.

4 / 6
Anti-TAZ antibody used in Western Blot (WB). GTX134857
GTX134857 WB Image

Various whole cell extracts (30 μg) were separated by 10% SDS-PAGE, and the membrane was blotted with TAZ antibody (GTX134857) diluted at 1:3000. The HRP-conjugated anti-rabbit IgG antibody (GTX213110-01) was used to detect the primary antibody.

5 / 6
Anti-TAZ antibody used in Western Blot (WB). GTX134857
GTX134857 WB Image

Whole cell extract (30 μg) was separated by 10% SDS-PAGE, and the membrane was blotted with TAZ antibody (GTX134857) diluted at 1:3000. The HRP-conjugated anti-rabbit IgG antibody (GTX213110-01) was used to detect the primary antibody.

6 / 6
Anti-TAZ antibody used in Western Blot (WB). GTX134857
Anti-TAZ antibody used in IHC (Paraffin sections) (IHC-P). GTX134857
Anti-TAZ antibody used in Immunocytochemistry/ Immunofluorescence (ICC/IF). GTX134857
Anti-TAZ antibody used in Western Blot (WB). GTX134857
Anti-TAZ antibody used in Western Blot (WB). GTX134857
Anti-TAZ antibody used in Western Blot (WB). GTX134857
  • Host
    Rabbit
  • Clonality
    Polyclonal
  • Isotype
    IgG
  • Applications
    WB ICC/IF IHC-P
  • Reactivity
    Human, Mouse, Rat
See all TAZ products