TCF3 / E2A antibody, Internal

Cat. No. GTX89171
Cat. No.  GTX89171
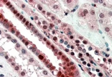
Anti-TCF3 / E2A antibody, Internal used in IHC (Paraffin sections) (IHC-P). GTX89171
GTX89171 IHC-P Image

IHC-P analysis of human kidney using GTX89171 TCF3 / E2A antibody, Internal.
Antigen retrieval : citrate buffer pH 6
Dilution : 3.8μg/ml

1 / 2
Anti-TCF3 / E2A antibody, Internal used in Western Blot (WB). GTX89171
GTX89171 WB Image

WB analysis of Daudi cell lysate using GTX89171 TCF3 / E2A antibody, Internal.
Dilution : 0.01μg/ml
Loading : 35μg protein in RIPA buffer

2 / 2
Anti-TCF3 / E2A antibody, Internal used in IHC (Paraffin sections) (IHC-P). GTX89171
Anti-TCF3 / E2A antibody, Internal used in Western Blot (WB). GTX89171
  • Host
    Goat
  • Clonality
    Polyclonal
  • Isotype
    IgG
  • Applications
    WB IHC-P
  • Reactivity
    Human
See all TCF3 / E2A products