TCP1 theta antibody

Cat. No. GTX64792
Cat. No.  GTX64792
Anti-TCP1 theta antibody used in Immunocytochemistry/ Immunofluorescence (ICC/IF). GTX64792
GTX64792 ICC/IF Image

ICC/IF analysis of HeLa cells using GTX64792 TCP1 theta antibody.
Blue : DAPI
Dilution : 1:100

1 / 2
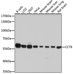
Anti-TCP1 theta antibody used in Western Blot (WB). GTX64792
GTX64792 WB Image

WB analysis of various sample lysates using GTX64792 TCP1 theta antibody.
Dilution : 1:7000
Loading : 25μg per lane

2 / 2
Anti-TCP1 theta antibody used in Immunocytochemistry/ Immunofluorescence (ICC/IF). GTX64792
Anti-TCP1 theta antibody used in Western Blot (WB). GTX64792
  • Host
    Rabbit
  • Clonality
    Polyclonal
  • Isotype
    IgG
  • Applications
    WB ICC/IF
  • Reactivity
    Human, Mouse, Rat
See all TCP1 theta products