TDG antibody [GT1511]

Cat. No. GTX631719
Cat. No.  GTX631719
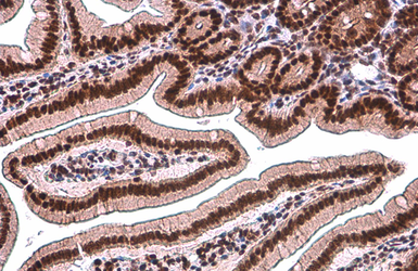
Anti-TDG antibody [GT1511] used in IHC (Paraffin sections) (IHC-P). GTX631719
GTX631719 IHC-P Image

TDG antibody [GT1511] detects TDG protein at nucleus by immunohistochemical analysis.
Sample: Paraffin-embedded rat intestine.
TDG stained by TDG antibody [GT1511] (GTX631719) diluted at 1:200.
Antigen Retrieval: Citrate buffer, pH 6.0, 15 min

1 / 4
Anti-TDG antibody [GT1511] used in Western Blot (WB). GTX631719
GTX631719 WB Image

TDG antibody detects TDG protein by western blot analysis.
293T mock transfected (-) or transfected with a construct expressing human TDG.
10 % SDS-PAGE
TDG antibody (GTX631719) dilution: 1:10000

2 / 4
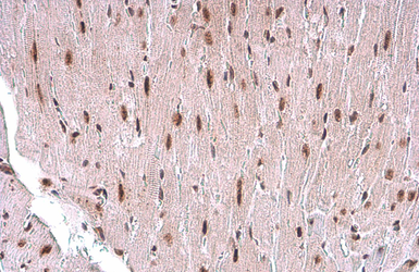
Anti-TDG antibody [GT1511] used in IHC (Paraffin sections) (IHC-P). GTX631719
GTX631719 IHC-P Image

TDG antibody [GT1511] detects TDG protein at nucleus by immunohistochemical analysis.
Sample: Paraffin-embedded mouse heart.
TDG stained by TDG antibody [GT1511] (GTX631719) diluted at 1:200.
Antigen Retrieval: Citrate buffer, pH 6.0, 15 min

3 / 4
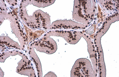
Anti-TDG antibody [GT1511] used in IHC (Paraffin sections) (IHC-P). GTX631719
GTX631719 IHC-P Image

TDG antibody [GT1511] detects TDG protein at nucleus by immunohistochemical analysis.
Sample: Paraffin-embedded rat prostate.
TDG stained by TDG antibody [GT1511] (GTX631719) diluted at 1:200.
Antigen Retrieval: Citrate buffer, pH 6.0, 15 min

4 / 4
Anti-TDG antibody [GT1511] used in IHC (Paraffin sections) (IHC-P). GTX631719
Anti-TDG antibody [GT1511] used in Western Blot (WB). GTX631719
Anti-TDG antibody [GT1511] used in IHC (Paraffin sections) (IHC-P). GTX631719
Anti-TDG antibody [GT1511] used in IHC (Paraffin sections) (IHC-P). GTX631719
  • Host
    Mouse
  • Clonality
    Monoclonal
  • Clone Name
    GT1511
  • Isotype
    IgG2b
  • Applications
    WB IHC-P
  • Reactivity
    Human, Mouse, Rat
See all TDG products