TFF-2 antibody

Cat. No. GTX31203
Cat. No.  GTX31203
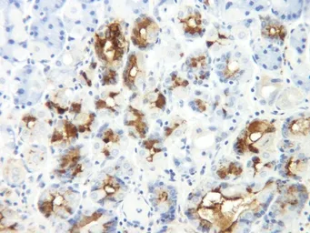
Anti-TFF-2 antibody used in IHC (Paraffin sections) (IHC-P). GTX31203
GTX31203 IHC-P Image

IHC-P analysis of human normal gastric mucosa using TFF-2 antibody at a concentration of 0.25 μg/ml. An HRP-labeled polymer detection system was used with a DAB chromogen. Optimal results for these conditions were achieved without antigen retrieval.

1 / 1
Anti-TFF-2 antibody used in IHC (Paraffin sections) (IHC-P). GTX31203
  • Host
    Rabbit
  • Clonality
    Polyclonal
  • Isotype
    IgG
  • Applications
    WB IHC-P ELISA
  • Reactivity
    Human
See all TFF-2 products