TGF alpha antibody [TGFA/1119]

Cat. No. GTX35107
Cat. No.  GTX35107
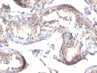
Anti-TGF alpha antibody [TGFA/1119] used in IHC (Paraffin sections) (IHC-P). GTX35107
GTX35107 IHC-P Image

IHC-P analysis of human testicular carcinoma tissue using GTX35107 TGF alpha antibody [TGFA/1119].

1 / 1
Anti-TGF alpha antibody [TGFA/1119] used in IHC (Paraffin sections) (IHC-P). GTX35107
  • Host
    Mouse
  • Clonality
    Monoclonal
  • Clone Name
    TGFA/1119
  • Isotype
    IgG1
  • Applications
    IHC-P
  • Reactivity
    Human
See all TGF alpha products