TGF beta 2 antibody [220ct16.4.3.1]

Cat. No. GTX16335
Cat. No.  GTX16335
Anti-TGF beta 2 antibody [220ct16.4.3.1] used in Western Blot (WB). GTX16335
GTX16335 WB Image

WB analysis of various samples using GTX16335 TGF beta 2 antibody [220ct16.4.3.1].
Lane 1: 293 whole cell lysate
Lane 2: K562 whole cell lysate
Loading : 20 μg per lane
Dilution : 1:500-1:1000

1 / 5
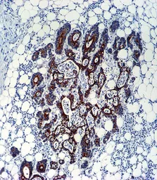
Anti-TGF beta 2 antibody [220ct16.4.3.1] used in IHC (Paraffin sections) (IHC-P). GTX16335
GTX16335 IHC-P Image

IHC-P analysis of human colon carcinoma using GTX16335 TGF beta 2 antibody [220ct16.4.3.1].

2 / 5
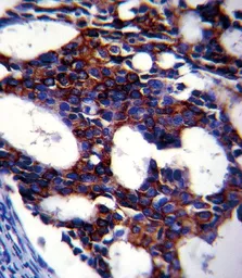
Anti-TGF beta 2 antibody [220ct16.4.3.1] used in IHC (Paraffin sections) (IHC-P). GTX16335
GTX16335 IHC-P Image

IHC-P analysis of human breast carcinoma using GTX16335 TGF beta 2 antibody [220ct16.4.3.1].

3 / 5
Anti-TGF beta 2 antibody [220ct16.4.3.1] used in Immunocytochemistry/ Immunofluorescence (ICC/IF). GTX16335
GTX16335 ICC/IF Image

ICC/IF analysis of A549 cells using GTX16335 TGF beta 2 antibody [220ct16.4.3.1].
Green : TGF beta 2
Blue : DAPI

4 / 5
Anti-TGF beta 2 antibody [220ct16.4.3.1] used in Western Blot (WB). GTX16335
GTX16335 WB Image

WB analysis of A549 cell lysate (35μg/lane) using GTX16335 TGF beta 2 antibody [220ct16.4.3.1].

5 / 5
Anti-TGF beta 2 antibody [220ct16.4.3.1] used in Western Blot (WB). GTX16335
Anti-TGF beta 2 antibody [220ct16.4.3.1] used in IHC (Paraffin sections) (IHC-P). GTX16335
Anti-TGF beta 2 antibody [220ct16.4.3.1] used in IHC (Paraffin sections) (IHC-P). GTX16335
Anti-TGF beta 2 antibody [220ct16.4.3.1] used in Immunocytochemistry/ Immunofluorescence (ICC/IF). GTX16335
Anti-TGF beta 2 antibody [220ct16.4.3.1] used in Western Blot (WB). GTX16335
  • Host
    Mouse
  • Clonality
    Monoclonal
  • Clone Name
    220ct16.4.3.1
  • Isotype
    IgG1
  • Applications
    WB ICC/IF IHC-P
  • Reactivity
    Human
See all TGF beta 2 products