TGF beta 2 antibody

Cat. No. GTX37528
Cat. No.  GTX37528
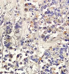
Anti-TGF beta 2 antibody used in IHC (Paraffin sections) (IHC-P). GTX37528
GTX37528 IHC-P Image

IHC-P analysis of human colon carcinoma using TGF beta 2 antibody.

1 / 2
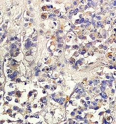
Anti-TGF beta 2 antibody used in IHC (Paraffin sections) (IHC-P). GTX37528
GTX37528 IHC-P Image

IHC-P analysis of human colon carcinoma tissue using GTX37528 TGF beta 2 antibody.

2 / 2
Anti-TGF beta 2 antibody used in IHC (Paraffin sections) (IHC-P). GTX37528
Anti-TGF beta 2 antibody used in IHC (Paraffin sections) (IHC-P). GTX37528
  • Host
    Rabbit
  • Clonality
    Polyclonal
  • Isotype
    IgG
  • Applications
    IHC-P
  • Reactivity
    Human
See all TGF beta 2 products