TIE1 antibody

Cat. No. GTX107818
Cat. No.  GTX107818
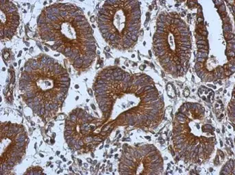
Anti-TIE1 antibody used in IHC (Paraffin sections) (IHC-P). GTX107818
GTX107818 IHC-P Image

Immunohistochemical analysis of paraffin-embedded human colon carcinoma, using TIE1(GTX107818) antibody at 1:500 dilution.
Antigen Retrieval: Trilogy™ (EDTA based, pH 8.0) buffer, 15min

1 / 4
Anti-TIE1 antibody used in Western Blot (WB). GTX107818
GTX107818 WB Image

TIE1 antibody detects TIE1 protein by Western blot analysis.
A. 30 μg Jurkat whole cell lysate/extract
B. 30 μg Raji whole cell lysate/extract
C. 30 μg K562 whole cell lysate/extract
5 % SDS-PAGE
TIE1 antibody (GTX107818) dilution: 1:1000

2 / 4
Anti-TIE1 antibody used in Western Blot (WB). GTX107818
GTX107818 WB Image

TIE1 antibody detects TIE1 protein by Western blot analysis.
A. 30 μg 293T whole cell lysate/extract
B. 30 μg whole cell lysate/extract of human TIE1-transfected 293T cells
5 % SDS-PAGE
TIE1 antibody (GTX107818) dilution: 1:5000

3 / 4
Anti-TIE1 antibody used in Western Blot (WB). GTX107818
GTX107818 WB Image

The data was published in the Oncotarget in 2018. PMID: 29435158

4 / 4
Anti-TIE1 antibody used in IHC (Paraffin sections) (IHC-P). GTX107818
Anti-TIE1 antibody used in Western Blot (WB). GTX107818
Anti-TIE1 antibody used in Western Blot (WB). GTX107818
Anti-TIE1 antibody used in Western Blot (WB). GTX107818
  • Host
    Rabbit
  • Clonality
    Polyclonal
  • Isotype
    IgG
  • Applications
    WB IHC-P
  • Reactivity
    Human
See all TIE1 products