TIF1 alpha antibody

Cat. No. GTX04914
Cat. No.  GTX04914
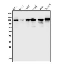
Anti-TIF1 alpha antibody used in Western Blot (WB). GTX04914
GTX04914 WB Image

WB analysis of various samples using GTX04914 TIF1 alpha antibody.
Loading : 50μg
Dilution : 0.25 μg/ml

1 / 2
Anti-TIF1 alpha antibody used in Flow cytometry (FCM). GTX04914
GTX04914 FCM Image

FACS analysis of 4% PFA-fixed A431 cells using GTX04914 TIF1 alpha antibody.
Blue line : Primary antibody
Green line : Isotype Control
Red line : Blank control
Dilution : 1 μg/1x10⁶ cells

2 / 2
Anti-TIF1 alpha antibody used in Western Blot (WB). GTX04914
Anti-TIF1 alpha antibody used in Flow cytometry (FCM). GTX04914
  • Host
    Rabbit
  • Clonality
    Polyclonal
  • Isotype
    IgG
  • Applications
    WB FCM ELISA
  • Reactivity
    Human, Mouse, Rat
See all TIF1 alpha products