TIF1 gamma antibody [9D4]

Cat. No. GTX83492
Cat. No.  GTX83492
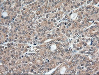
Anti-TIF1 gamma antibody [9D4] used in IHC (Paraffin sections) (IHC-P). GTX83492
GTX83492 IHC-P Image

IHC-P analysis of human pancreas carcinoma tissue using GTX83492 TIF1 gamma antibody [9D4].
Antigen retrieval : Heat-induced epitope retrieval by 10mM citrate buffer, pH6.0, 100ºC for 10min.

1 / 13
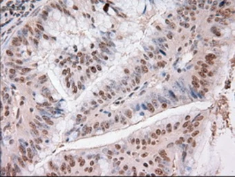
Anti-TIF1 gamma antibody [9D4] used in IHC (Paraffin sections) (IHC-P). GTX83492
GTX83492 IHC-P Image

IHC-P analysis of human breast adenocarcinoma tissue using GTX83492 TIF1 gamma antibody [9D4].
Antigen retrieval : Heat-induced epitope retrieval by 10mM citrate buffer, pH6.0, 100ºC for 10min.

2 / 13
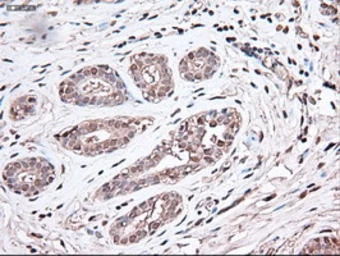
Anti-TIF1 gamma antibody [9D4] used in IHC (Paraffin sections) (IHC-P). GTX83492
GTX83492 IHC-P Image

IHC-P analysis of human kidney tissue using GTX83492 TIF1 gamma antibody [9D4].
Antigen retrieval : Heat-induced epitope retrieval by 10mM citrate buffer, pH6.0, 100ºC for 10min.

3 / 13
Anti-TIF1 gamma antibody [9D4] used in IHC (Paraffin sections) (IHC-P). GTX83492
GTX83492 IHC-P Image

IHC-P analysis of human colon tissue using GTX83492 TIF1 gamma antibody [9D4].
Antigen retrieval : Heat-induced epitope retrieval by 10mM citrate buffer, pH6.0, 100ºC for 10min.

4 / 13
Anti-TIF1 gamma antibody [9D4] used in IHC (Paraffin sections) (IHC-P). GTX83492
GTX83492 IHC-P Image

IHC-P analysis of human ovary adenocarcinoma tissue using GTX83492 TIF1 gamma antibody [9D4].
Antigen retrieval : Heat-induced epitope retrieval by 10mM citrate buffer, pH6.0, 100ºC for 10min.

5 / 13
Anti-TIF1 gamma antibody [9D4] used in IHC (Paraffin sections) (IHC-P). GTX83492
GTX83492 IHC-P Image

IHC-P analysis of human kidney carcinoma tissue using GTX83492 TIF1 gamma antibody [9D4].
Antigen retrieval : Heat-induced epitope retrieval by 10mM citrate buffer, pH6.0, 100ºC for 10min.

6 / 13
Anti-TIF1 gamma antibody [9D4] used in IHC (Paraffin sections) (IHC-P). GTX83492
GTX83492 IHC-P Image

IHC-P analysis of human colon adenocarcinoma tissue using GTX83492 TIF1 gamma antibody [9D4].
Antigen retrieval : Heat-induced epitope retrieval by 10mM citrate buffer, pH6.0, 100ºC for 10min.

7 / 13
Anti-TIF1 gamma antibody [9D4] used in IHC (Paraffin sections) (IHC-P). GTX83492
GTX83492 IHC-P Image

IHC-P analysis of human lung carcinoma tissue using GTX83492 TIF1 gamma antibody [9D4].
Antigen retrieval : Heat-induced epitope retrieval by 10mM citrate buffer, pH6.0, 100ºC for 10min.

8 / 13
Anti-TIF1 gamma antibody [9D4] used in Immunocytochemistry/ Immunofluorescence (ICC/IF). GTX83492
GTX83492 ICC/IF Image

ICC/IF analysis of COS7 cells transiently transfected with TIF1 gamma plasmid using GTX83492 TIF1 gamma antibody [9D4].

9 / 13
Anti-TIF1 gamma antibody [9D4] used in IHC (Paraffin sections) (IHC-P). GTX83492
GTX83492 IHC-P Image

IHC-P analysis of human breast tissue using GTX83492 TIF1 gamma antibody [9D4].
Antigen retrieval : Heat-induced epitope retrieval by 10mM citrate buffer, pH6.0, 100ºC for 10min.

10 / 13
Anti-TIF1 gamma antibody [9D4] used in IHC (Paraffin sections) (IHC-P). GTX83492
GTX83492 IHC-P Image

IHC-P analysis of human ovary tissue using GTX83492 TIF1 gamma antibody [9D4].
Antigen retrieval : Heat-induced epitope retrieval by 10mM citrate buffer, pH6.0, 100ºC for 10min.

11 / 13
Anti-TIF1 gamma antibody [9D4] used in IHC (Paraffin sections) (IHC-P). GTX83492
GTX83492 IHC-P Image

IHC-P analysis of human thyroid carcinoma tissue using GTX83492 TIF1 gamma antibody [9D4].
Antigen retrieval : Heat-induced epitope retrieval by 10mM citrate buffer, pH6.0, 100ºC for 10min.

12 / 13
Anti-TIF1 gamma antibody [9D4] used in Western Blot (WB). GTX83492
GTX83492 WB Image

WB analysis of HEK293T cells transfected with TIF1 gamma plasmid (Right) or empty vector (Left) for 48 hrs using GTX83492 TIF1 gamma antibody [9D4].
Loading : 5 ug per lane

13 / 13
Anti-TIF1 gamma antibody [9D4] used in IHC (Paraffin sections) (IHC-P). GTX83492
Anti-TIF1 gamma antibody [9D4] used in IHC (Paraffin sections) (IHC-P). GTX83492
Anti-TIF1 gamma antibody [9D4] used in IHC (Paraffin sections) (IHC-P). GTX83492
Anti-TIF1 gamma antibody [9D4] used in IHC (Paraffin sections) (IHC-P). GTX83492
Anti-TIF1 gamma antibody [9D4] used in IHC (Paraffin sections) (IHC-P). GTX83492
Anti-TIF1 gamma antibody [9D4] used in IHC (Paraffin sections) (IHC-P). GTX83492
Anti-TIF1 gamma antibody [9D4] used in IHC (Paraffin sections) (IHC-P). GTX83492
Anti-TIF1 gamma antibody [9D4] used in IHC (Paraffin sections) (IHC-P). GTX83492
Anti-TIF1 gamma antibody [9D4] used in Immunocytochemistry/ Immunofluorescence (ICC/IF). GTX83492
Anti-TIF1 gamma antibody [9D4] used in IHC (Paraffin sections) (IHC-P). GTX83492
Anti-TIF1 gamma antibody [9D4] used in IHC (Paraffin sections) (IHC-P). GTX83492
Anti-TIF1 gamma antibody [9D4] used in IHC (Paraffin sections) (IHC-P). GTX83492
Anti-TIF1 gamma antibody [9D4] used in Western Blot (WB). GTX83492
  • Host
    Mouse
  • Clonality
    Monoclonal
  • Clone Name
    9D4
  • Isotype
    IgG2a
  • Applications
    WB ICC/IF IHC-P
  • Reactivity
    Human
See all TIF1 gamma products