TLR5 antibody

Cat. No. GTX13868
Cat. No.  GTX13868
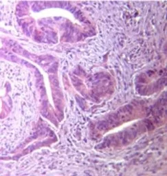
Anti-TLR5 antibody used in IHC (Paraffin sections) (IHC-P). GTX13868
GTX13868 IHC-P Image

IHC-P analysis of human stomach tumor tissue using GTX13868 TLR5 antibody.
Dilution : 10 μg/ml

1 / 2
Anti-TLR5 antibody used in Flow cytometry (FCM). GTX13868
GTX13868 FCM Image

FACS (Intracellular staining) analysis of mouse splenocytes using GTX13868 TLR5 antibody.
Red : Primary antibody
Green : isotype control
Shaded histogram : cell only
Dilution : 2 μg/10⁶ cells

2 / 2
Anti-TLR5 antibody used in IHC (Paraffin sections) (IHC-P). GTX13868
Anti-TLR5 antibody used in Flow cytometry (FCM). GTX13868
  • Host
    Rabbit
  • Clonality
    Polyclonal
  • Isotype
    IgG
  • Applications
    WB IHC-P FCM
  • Reactivity
    Human, Mouse, Rat, Pig
See all TLR5 products