TM6SF2 antibody

Cat. No. GTX05190
Cat. No.  GTX05190
Anti-TM6SF2 antibody used in Western Blot (WB). GTX05190
GTX05190 WB Image

WB analysis of human fetal liver tissue lysate using GTX05190 TM6SF2 antibody.
Dilution : 1 μg/ml

1 / 2
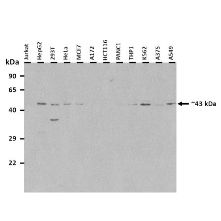
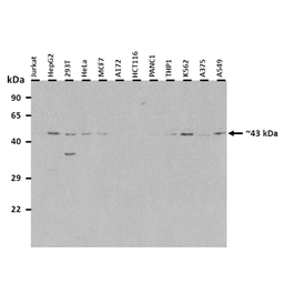
Anti-TM6SF2 antibody used in Western Blot (WB). GTX05190
GTX05190 WB Image

WB analysis of various samples using GTX05190 TM6SF2 antibody.
Loading : 25 μg
Dilution : 5 μg/ml

2 / 2
Anti-TM6SF2 antibody used in Western Blot (WB). GTX05190
Anti-TM6SF2 antibody used in Western Blot (WB). GTX05190
  • Host
    Rabbit
  • Clonality
    Polyclonal
  • Isotype
    IgG
  • Applications
    WB
  • Reactivity
    Human
See all TM6SF2 products