TMEM100 antibody [10G3]

Cat. No. GTX83508
Cat. No.  GTX83508
Anti-TMEM100 antibody [10G3] used in IHC (Paraffin sections) (IHC-P). GTX83508
GTX83508 IHC-P Image

IHC-P analysis of human ovary tissue using GTX83508 TMEM100 antibody [10G3].
Antigen retrieval : Heat-induced epitope retrieval by 10mM citrate buffer, pH6.0, 100ºC for 10min.

1 / 7
Anti-TMEM100 antibody [10G3] used in Immunocytochemistry/ Immunofluorescence (ICC/IF). GTX83508
GTX83508 ICC/IF Image

ICC/IF analysis of COS7 cells transiently transfected with TMEM100 plasmid using GTX83508 TMEM100 antibody [10G3].

2 / 7
Anti-TMEM100 antibody [10G3] used in Western Blot (WB). GTX83508
GTX83508 WB Image

WB analysis of HEK293T cells transfected with TMEM100 plasmid (Right) or empty vector (Left) for 48 hrs using GTX83508 TMEM100 antibody [10G3].
Loading : 5 ug per lane

3 / 7
Anti-TMEM100 antibody [10G3] used in IHC (Paraffin sections) (IHC-P). GTX83508
GTX83508 IHC-P Image

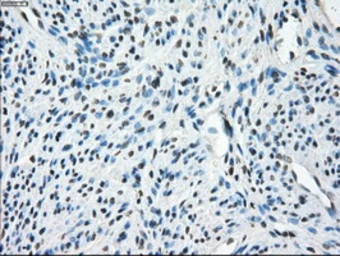
IHC-P analysis of human colon tissue using GTX83508 TMEM100 antibody [10G3].
Antigen retrieval : Heat-induced epitope retrieval by 10mM citrate buffer, pH6.0, 100ºC for 10min.

4 / 7
Anti-TMEM100 antibody [10G3] used in IHC (Paraffin sections) (IHC-P). GTX83508
GTX83508 IHC-P Image

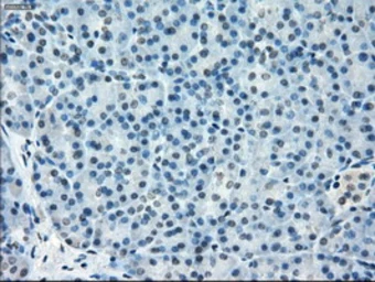
IHC-P analysis of human pancreas tissue using GTX83508 TMEM100 antibody [10G3].
Antigen retrieval : Heat-induced epitope retrieval by 10mM citrate buffer, pH6.0, 100ºC for 10min.

5 / 7
Anti-TMEM100 antibody [10G3] used in IHC (Paraffin sections) (IHC-P). GTX83508
GTX83508 IHC-P Image

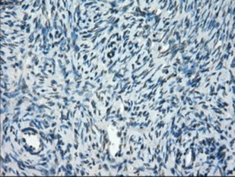
IHC-P analysis of human endometrium tissue using GTX83508 TMEM100 antibody [10G3].
Antigen retrieval : Heat-induced epitope retrieval by 10mM citrate buffer, pH6.0, 100ºC for 10min.

6 / 7
Anti-TMEM100 antibody [10G3] used in IHC (Paraffin sections) (IHC-P). GTX83508
GTX83508 IHC-P Image

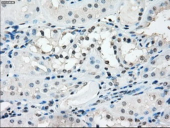
IHC-P analysis of human kidney tissue using GTX83508 TMEM100 antibody [10G3].
Antigen retrieval : Heat-induced epitope retrieval by 10mM citrate buffer, pH6.0, 100ºC for 10min.

7 / 7
Anti-TMEM100 antibody [10G3] used in IHC (Paraffin sections) (IHC-P). GTX83508
Anti-TMEM100 antibody [10G3] used in Immunocytochemistry/ Immunofluorescence (ICC/IF). GTX83508
Anti-TMEM100 antibody [10G3] used in Western Blot (WB). GTX83508
Anti-TMEM100 antibody [10G3] used in IHC (Paraffin sections) (IHC-P). GTX83508
Anti-TMEM100 antibody [10G3] used in IHC (Paraffin sections) (IHC-P). GTX83508
Anti-TMEM100 antibody [10G3] used in IHC (Paraffin sections) (IHC-P). GTX83508
Anti-TMEM100 antibody [10G3] used in IHC (Paraffin sections) (IHC-P). GTX83508
  • Host
    Mouse
  • Clonality
    Monoclonal
  • Clone Name
    10G3
  • Isotype
    IgG1
  • Applications
    WB ICC/IF IHC-P
  • Reactivity
    Human, Rat
See all TMEM100 products