TMEM16A antibody [DG1/1484]

Cat. No. GTX35128
Cat. No.  GTX35128
Anti-TMEM16A antibody [DG1/1484] used in Protein Array (Protein Array). GTX35128
GTX35128 Protein Array Image

Analysis of Protein Array containing more than 19,000 full-length human proteins using DOG-1 Mouse Monoclonal Antibody (DG1/1484). Z- and S- Score: The Z-score represents the strength of a signal that a monoclonal antibody produces when binding to a particular protein on the HuProtTM array. Z-scores are described in units of standard deviations (SD’s) above the mean value of all signals generated on that array. If targets on HuProtTM are arranged in descending order of the Z-score, the S-score is the difference (also in units of SD’s) between the Z-score. S-score therefore represents the relative target specificity of a Monoclonal Antibody to its intended target. A Monoclonal Antibody is considered to specific to its intended target if the Monoclonal Antibody has an S-score of at least 2.5. For example, if a Monoclonal Antibody binds to protein X with a Z-score of 43 and to protein Y with a Z-score of 14, then the S-score for the binding of that Monoclonal Antibody to protein X is equal to 29.

1 / 2
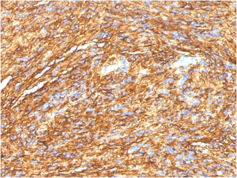
Anti-TMEM16A antibody [DG1/1484] used in IHC (Paraffin sections) (IHC-P). GTX35128
GTX35128 IHC-P Image

IHC-P analysis of human gastrointestinal stromal tumor (GIST) tissue using GTX35128 TMEM16A antibody [DG1/1484].

2 / 2
Anti-TMEM16A antibody [DG1/1484] used in Protein Array (Protein Array). GTX35128
Anti-TMEM16A antibody [DG1/1484] used in IHC (Paraffin sections) (IHC-P). GTX35128
  • Host
    Mouse
  • Clonality
    Monoclonal
  • Clone Name
    DG1/1484
  • Isotype
    IgG2b
  • Applications
    IHC-P Protein Array
  • Reactivity
    Human
See all TMEM16A products