TNF alpha antibody [DBM15.28] (ready-to-use)

Cat. No. GTX05131
Cat. No.  GTX05131
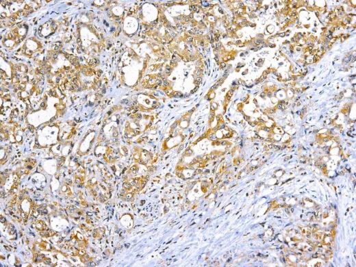
Anti-TNF alpha antibody [DBM15.28] (ready-to-use) used in IHC (Paraffin sections) (IHC-P). GTX05131
GTX05131 IHC-P Image

IHC-P analysis of human breast carcinoma tissue using GTX05131 TNF alpha antibody [DBM15.28] (ready-to-use).

1 / 1
Anti-TNF alpha antibody [DBM15.28] (ready-to-use) used in IHC (Paraffin sections) (IHC-P). GTX05131
  • Host
    Mouse
  • Clonality
    Monoclonal
  • Clone Name
    DBM15.28
  • Isotype
    IgM
  • Applications
    IHC-P
  • Reactivity
    Human
See all TNF alpha products