TNF alpha antibody

Cat. No. GTX26671
Cat. No.  GTX26671
Anti-TNF alpha antibody used in Western Blot (WB). GTX26671
GTX26671 WB Image

WB analysis of various samples using GTX26671 TNF alpha antibody.
Lane 1 : 293T whole cell lysate
Lane 2 : HeLa whole cell lysate
Lane 3 : MCF-7 whole cell lysate
Lane 4 : Jurkat whole cell lysate
Lane 5 : A431 whole cell lysate
Lane 6 : A549 whole cell lysate
Lane 7 : LNCap whole cell lysate
Lane 8 : Molt-4 whole cell lysate
Lane 9 : Ramos whole cell lysate
Lane 10 : Raji whole cell lysate
Lane 11 : A-172 whole cell lysate
Lane 12 : NIH-3T3 whole cell lysate
Loading : 35 μg
Dilution : 1 μg/mL

1 / 6
Anti-TNF alpha antibody used in IHC (Paraffin sections) (IHC-P). GTX26671
GTX26671 IHC-P Image

IHC-P analysis of human colon tissue using GTX26671 TNF alpha antibody.
Dilution : 1:100

2 / 6
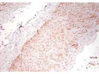
Anti-TNF alpha antibody used in IHC (Paraffin sections) (IHC-P). GTX26671
GTX26671 IHC-P Image

IHC-P analysis of human artery tissue using GTX26671 TNF alpha antibody.
Antigen retrieval : Heat mediated citrate buffer (pH 6.0)
Dilution : 1:100

3 / 6
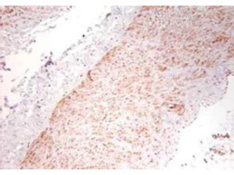
Anti-TNF alpha antibody used in IHC (Paraffin sections) (IHC-P). GTX26671
GTX26671 IHC-P Image

Immunohistochemistry using GTX26671 showing staining of formalin/PFA-fixed paraffin-embedded sections of human artery tissue sections. Sections were fixed in formaldehyde and subjected to heat mediated antigen retrieval in citrate buffer (pH 6.0). Slides were blocked for ten minutes with 1.5% serum. Primary antibody was diluted 1:100 and incubated with samples for 24 hours at 4ºC. HRP-conjugated goat anti-rabbit antibody was used as the secondary antibody.

4 / 6
Anti-TNF alpha antibody used in IHC (Paraffin sections) (IHC-P). GTX26671
GTX26671 IHC-P Image

Fluorescent IHC-P staining of human colon using anti-TNF alpha antibody (GTX26671) at a primary antibody dilution of 1:100.

5 / 6
Anti-TNF alpha antibody used in Western Blot (WB). GTX26671
GTX26671 WB Image

GTX26671 was used at a 1:1000 dilution incubated o/n 4ºC to detect recombinant human TNF-Alpha protein by Western blot.

6 / 6
Anti-TNF alpha antibody used in Western Blot (WB). GTX26671
Anti-TNF alpha antibody used in IHC (Paraffin sections) (IHC-P). GTX26671
Anti-TNF alpha antibody used in IHC (Paraffin sections) (IHC-P). GTX26671
Anti-TNF alpha antibody used in IHC (Paraffin sections) (IHC-P). GTX26671
Anti-TNF alpha antibody used in IHC (Paraffin sections) (IHC-P). GTX26671
Anti-TNF alpha antibody used in Western Blot (WB). GTX26671
  • Host
    Rabbit
  • Clonality
    Polyclonal
  • Isotype
    IgG
  • Applications
    WB ICC/IF IHC-P ELISA
  • Reactivity
    Human
See all TNF alpha products