TPH1 antibody

Cat. No. GTX05146
Cat. No.  GTX05146
Anti-TPH1 antibody used in Western Blot (WB). GTX05146
GTX05146 WB Image

WB analysis of rat heart tissue lysate using GTX05146 TPH1 antibody.
Dilution : 1:1000

1 / 4
Anti-TPH1 antibody used in Western Blot (WB). GTX05146
GTX05146 WB Image

WB analysis of various samples using GTX05146 TPH1 antibody.
(M) : Mouse
(R) : Rat
Dilution : 1:1000

2 / 4
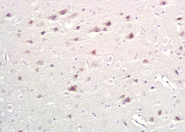
Anti-TPH1 antibody used in IHC (Paraffin sections) (IHC-P). GTX05146
GTX05146 IHC-P Image

IHC-P analysis of rat brain tissue using GTX05146 TPH1 antibody.
Dilution : 1:200

3 / 4
Anti-TPH1 antibody used in Western Blot (WB). GTX05146
GTX05146 WB Image

WB analysis of HL-60 whole cell lysate using GTX05146 TPH1 antibody.
Dilution : 1:300

4 / 4
Anti-TPH1 antibody used in Western Blot (WB). GTX05146
Anti-TPH1 antibody used in Western Blot (WB). GTX05146
Anti-TPH1 antibody used in IHC (Paraffin sections) (IHC-P). GTX05146
Anti-TPH1 antibody used in Western Blot (WB). GTX05146
  • Host
    Rabbit
  • Clonality
    Polyclonal
  • Isotype
    IgG
  • Applications
    WB IHC-P
  • Reactivity
    Human, Mouse, Rat
See all TPH1 products