TPMT antibody [2A2]

Cat. No. GTX83498
Cat. No.  GTX83498
Anti-TPMT antibody [2A2] used in Immunocytochemistry/ Immunofluorescence (ICC/IF). GTX83498
GTX83498 ICC/IF Image

ICC/IF analysis of HepG2 cells using GTX83498 TPMT antibody [2A2].

1 / 10
Anti-TPMT antibody [2A2] used in IHC (Paraffin sections) (IHC-P). GTX83498
GTX83498 IHC-P Image

IHC-P analysis of human ovary adenocarcinoma tissue using GTX83498 TPMT antibody [2A2].
Antigen retrieval : Heat-induced epitope retrieval by 10mM citrate buffer, pH6.0, 100ºC for 10min.
Dilution : 1:50

2 / 10
Anti-TPMT antibody [2A2] used in IHC (Paraffin sections) (IHC-P). GTX83498
GTX83498 IHC-P Image

IHC-P analysis of colon adenocarcinoma tissue using GTX83498 TPMT antibody [2A2].
Antigen retrieval : Heat-induced epitope retrieval by 10mM citrate buffer, pH6.0, 100ºC for 10min.
Dilution : 1:50

3 / 10
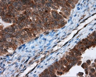
Anti-TPMT antibody [2A2] used in IHC (Paraffin sections) (IHC-P). GTX83498
GTX83498 IHC-P Image

IHC-P analysis of endometrium adenocarcinoma tissue using GTX83498 TPMT antibody [2A2].
Antigen retrieval : Heat-induced epitope retrieval by 10mM citrate buffer, pH6.0, 100ºC for 10min.
Dilution : 1:50

4 / 10
Anti-TPMT antibody [2A2] used in Western Blot (WB). GTX83498
GTX83498 WB Image

WB analysis of HEK293T cells transfected with TPMT plasmid (Right) or empty vector (Left) for 48 hrs using GTX83498 TPMT antibody [2A2].
Loading : 5 ug per lane

5 / 10
Anti-TPMT antibody [2A2] used in Western Blot (WB). GTX83498
GTX83498 WB Image

WB analysis of various cell lines using GTX83498 TPMT antibody [2A2].
Loading : 35 ug per lane
Dilution : 1:200

6 / 10
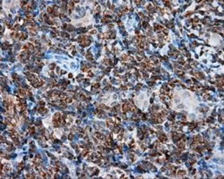
Anti-TPMT antibody [2A2] used in IHC (Paraffin sections) (IHC-P). GTX83498
GTX83498 IHC-P Image

IHC-P analysis of thyroid carcinoma tissue using GTX83498 TPMT antibody [2A2].
Antigen retrieval : Heat-induced epitope retrieval by 10mM citrate buffer, pH6.0, 100ºC for 10min.
Dilution : 1:50

7 / 10
Anti-TPMT antibody [2A2] used in IHC (Paraffin sections) (IHC-P). GTX83498
GTX83498 IHC-P Image

IHC-P analysis of liver tissue using GTX83498 TPMT antibody [2A2].
Antigen retrieval : Heat-induced epitope retrieval by 10mM citrate buffer, pH6.0, 100ºC for 10min.
Dilution : 1:50

8 / 10
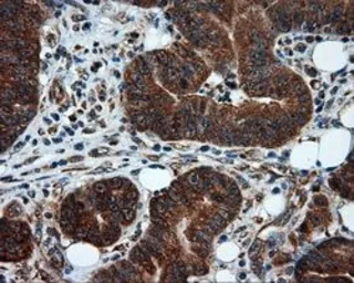
Anti-TPMT antibody [2A2] used in IHC (Paraffin sections) (IHC-P). GTX83498
GTX83498 IHC-P Image

IHC-P analysis of pancreas tissue using GTX83498 TPMT antibody [2A2].
Antigen retrieval : Heat-induced epitope retrieval by 10mM citrate buffer, pH6.0, 100ºC for 10min.
Dilution : 1:50

9 / 10
Anti-TPMT antibody [2A2] used in IHC (Paraffin sections) (IHC-P). GTX83498
GTX83498 IHC-P Image

IHC-P analysis of liver carcinoma tissue using GTX83498 TPMT antibody [2A2].
Antigen retrieval : Heat-induced epitope retrieval by 10mM citrate buffer, pH6.0, 100ºC for 10min.
Dilution : 1:50

10 / 10
Anti-TPMT antibody [2A2] used in Immunocytochemistry/ Immunofluorescence (ICC/IF). GTX83498
Anti-TPMT antibody [2A2] used in IHC (Paraffin sections) (IHC-P). GTX83498
Anti-TPMT antibody [2A2] used in IHC (Paraffin sections) (IHC-P). GTX83498
Anti-TPMT antibody [2A2] used in IHC (Paraffin sections) (IHC-P). GTX83498
Anti-TPMT antibody [2A2] used in Western Blot (WB). GTX83498
Anti-TPMT antibody [2A2] used in Western Blot (WB). GTX83498
Anti-TPMT antibody [2A2] used in IHC (Paraffin sections) (IHC-P). GTX83498
Anti-TPMT antibody [2A2] used in IHC (Paraffin sections) (IHC-P). GTX83498
Anti-TPMT antibody [2A2] used in IHC (Paraffin sections) (IHC-P). GTX83498
Anti-TPMT antibody [2A2] used in IHC (Paraffin sections) (IHC-P). GTX83498
  • Host
    Mouse
  • Clonality
    Monoclonal
  • Clone Name
    2A2
  • Isotype
    IgG1
  • Applications
    WB ICC/IF IHC-P
  • Reactivity
    Human, Mouse, Dog, Monkey
See all TPMT products