TRAF2 antibody

Cat. No. GTX16381
Cat. No.  GTX16381
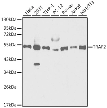
Anti-TRAF2 antibody used in Western Blot (WB). GTX16381
GTX16381 WB Image

WB analysis of various sample lysates using GTX16381 TRAF2 antibody.
Dilution : 1:1000
Loading : 25μg per lane

1 / 3
Anti-TRAF2 antibody used in Immunocytochemistry/ Immunofluorescence (ICC/IF). GTX16381
GTX16381 ICC/IF Image

ICC/IF analysis of HeLa cells using GTX16381 TRAF2 antibody.
Blue : DAPI

2 / 3
Anti-TRAF2 antibody used in Western Blot (WB). GTX16381
GTX16381 WB Image

WB analysis of normal (control) and knockout (KO) 293T cell lysate using GTX16381 TRAF2 antibody.
Dilution : 1:1000
Loading : 25μg per lane

3 / 3
Anti-TRAF2 antibody used in Western Blot (WB). GTX16381
Anti-TRAF2 antibody used in Immunocytochemistry/ Immunofluorescence (ICC/IF). GTX16381
Anti-TRAF2 antibody used in Western Blot (WB). GTX16381
  • Host
    Rabbit
  • Clonality
    Polyclonal
  • Isotype
    IgG
  • Applications
    WB ICC/IF
  • Reactivity
    Human, Mouse, Rat
See all TRAF2 products