TREM2 antibody [HL1738]

Cat. No. GTX637386
Cat. No.  GTX637386
Anti-TREM2 antibody [HL1738] used in Western Blot (WB). GTX637386
GTX637386 WB Image

Various whole cell extracts (30 μg) were separated by 12% SDS-PAGE, and the membrane was blotted with TREM2 antibody [HL1738] (GTX637386) diluted at 1:2000. The HRP-conjugated anti-rabbit IgG antibody (GTX213110-01) was used to detect the primary antibody, and the signal was developed with Trident ECL plus-Enhanced. Corresponding RNA expression data for the same cell lines are based on Human Protein Atlas program.

1 / 7
Anti-TREM2 antibody [HL1738] used in ELISA (ELISA). GTX637386
GTX637386 ELISA Image

Sandwich ELISA detection of recombinant E.coli expressed, full-length human TREM2 protein using antibodies as below.

Capture: TREM2 antibody [HL1738] (GTX637386) (5 μg/mL)
Detection: HRP-conjugated TREM2 antibody [HL1739] (GTX637387) (1 μg/mL)
Please notice that GTX637387 needs to be conjugated to HRP to function as the detection antibody when paired with GTX637386. Please contact us for custom HRP-conjugated antibody.

2 / 7
Anti-TREM2 antibody [HL1738] used in ELISA (ELISA). GTX637386
GTX637386 ELISA Image

Sandwich ELISA detection of recombinant E.coli expressed, full-length human TREM2 protein using antibodies as below.

Capture: TREM2 antibody [HL1739] (GTX637387) (5 μg/mL)
Detection: HRP-conjugated TREM2 antibody [HL1738] (GTX637386) (1 μg/mL)
Please notice that GTX637386 needs to be conjugated to HRP to function as the detection antibody when paired with GTX637387. Please contact us for custom HRP-conjugated antibody.

3 / 7
Anti-TREM2 antibody [HL1738] used in ELISA (ELISA). GTX637386
GTX637386 ELISA Image

Indirect ELISA analysis was performed by coating the plate with recombinant E.coli expressed, full-length human TREM2 protein (1215.95-19.07 pM). Coated protein was probed with TREM2 antibody [HL1738] (GTX637386) (1 μg/mL). Goat anti-rabbit IgG antibody (HRP) (GTX213110-01) (1:10000) was used to detect the bound primary antibody.

4 / 7
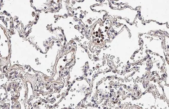
Anti-TREM2 antibody [HL1738] used in IHC (Paraffin sections) (IHC-P). GTX637386
GTX637386 IHC-P Image

TREM2 antibody [HL1738] detects TREM2 protein at cell membrane by immunohistochemical analysis.
Sample: Paraffin-embedded human lung cancer.
TREM2 stained by TREM2 antibody [HL1738] (GTX637386) diluted at 1:200.
Antigen Retrieval: Citrate buffer, pH 6.0, 15 min

5 / 7
Anti-TREM2 antibody [HL1738] used in Western Blot (WB). GTX637386
GTX637386 WB Image

Non-transfected (–) and transfected (+) 293T whole cell extracts (30 μg) were separated by 12% SDS-PAGE, and the membrane was blotted with TREM2 antibody [HL1738] (GTX637386) diluted at 1:500. The HRP-conjugated anti-rabbit IgG antibody (GTX213110-01) was used to detect the primary antibody.

6 / 7
Anti-TREM2 antibody [HL1738] used in Immunocytochemistry/ Immunofluorescence (ICC/IF). GTX637386
GTX637386 ICC/IF Image

TREM2 antibody [HL1738] detects TREM2 protein at cell membrane and cytoplasm by immunofluorescent analysis.
Sample: THP-1 cells were fixed in 4% paraformaldehyde at RT for 15 min.
Green: TREM2 stained by TREM2 antibody [HL1738] (GTX637386) diluted at 1:250.
Blue: Fluoroshield with DAPI (GTX30920).

7 / 7
Anti-TREM2 antibody [HL1738] used in Western Blot (WB). GTX637386
Anti-TREM2 antibody [HL1738] used in ELISA (ELISA). GTX637386
Anti-TREM2 antibody [HL1738] used in ELISA (ELISA). GTX637386
Anti-TREM2 antibody [HL1738] used in ELISA (ELISA). GTX637386
Anti-TREM2 antibody [HL1738] used in IHC (Paraffin sections) (IHC-P). GTX637386
Anti-TREM2 antibody [HL1738] used in Western Blot (WB). GTX637386
Anti-TREM2 antibody [HL1738] used in Immunocytochemistry/ Immunofluorescence (ICC/IF). GTX637386
  • Host
    Rabbit
  • Clonality
    Monoclonal
  • Clone Name
    HL1738
  • Isotype
    IgG
  • Applications
    WB ICC/IF IHC-P ELISA Sandwich ELISA
  • Reactivity
    Human
See all TREM2 products