TRF41 antibody

Cat. No. GTX64928
Cat. No.  GTX64928
Anti-TRF41 antibody used in IHC (Paraffin sections) (IHC-P). GTX64928
GTX64928 IHC-P Image

IHC-P analysis of human placenta tissue using GTX64928 TRF41 antibody.
Dilution : 1:50

1 / 2
Anti-TRF41 antibody used in Western Blot (WB). GTX64928
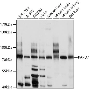
GTX64928 WB Image

WB analysis of various sample lysates using GTX64928 TRF41 antibody. The signal was developed with ECL plus-Enhanced.
Dilution : 1:1000
Loading : 25μg per lane

2 / 2
Anti-TRF41 antibody used in IHC (Paraffin sections) (IHC-P). GTX64928
Anti-TRF41 antibody used in Western Blot (WB). GTX64928
  • Host
    Rabbit
  • Clonality
    Polyclonal
  • Isotype
    IgG
  • Applications
    WB IHC-P
  • Reactivity
    Human, Mouse, Rat
See all TRF41 products