TRIP15 antibody

Cat. No. GTX64652
Cat. No.  GTX64652
Anti-TRIP15 antibody used in Immunocytochemistry/ Immunofluorescence (ICC/IF). GTX64652
GTX64652 ICC/IF Image

ICC/IF analysis of A549 cells using GTX64652 TRIP15 antibody.

1 / 3
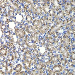
Anti-TRIP15 antibody used in IHC (Paraffin sections) (IHC-P). GTX64652
GTX64652 IHC-P Image

IHC-P analysis of rat kidney tissue using GTX64652 TRIP15 antibody.
Dilution : 1:100

2 / 3
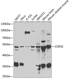
Anti-TRIP15 antibody used in Western Blot (WB). GTX64652
GTX64652 WB Image

WB analysis of various sample lysates using GTX64652 TRIP15 antibody.
Dilution : 1:1000
Loading : 25μg per lane

3 / 3
Anti-TRIP15 antibody used in Immunocytochemistry/ Immunofluorescence (ICC/IF). GTX64652
Anti-TRIP15 antibody used in IHC (Paraffin sections) (IHC-P). GTX64652
Anti-TRIP15 antibody used in Western Blot (WB). GTX64652
  • Host
    Rabbit
  • Clonality
    Polyclonal
  • Isotype
    IgG
  • Applications
    WB ICC/IF IHC-P
  • Reactivity
    Human, Mouse, Rat
See all TRIP15 products