TRMT61A antibody

Cat. No. GTX66064
Cat. No.  GTX66064
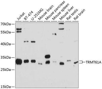
Anti-TRMT61A antibody used in Western Blot (WB). GTX66064
GTX66064 WB Image

WB analysis of various sample lysates using GTX66064 TRMT61A antibody.
Dilution : 1:1000
Loading : 25μg per lane

1 / 1
Anti-TRMT61A antibody used in Western Blot (WB). GTX66064
  • Host
    Rabbit
  • Clonality
    Polyclonal
  • Isotype
    IgG
  • Applications
    WB
  • Reactivity
    Human, Mouse, Rat
See all TRMT61A products