TRP1 antibody

Cat. No. GTX04910
Cat. No.  GTX04910
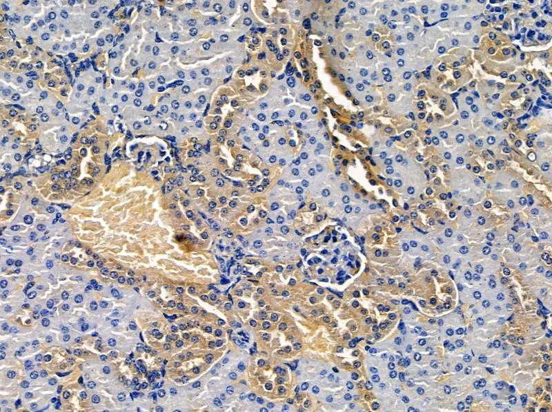
Anti-TRP1 antibody used in IHC (Paraffin sections) (IHC-P). GTX04910
GTX04910 IHC-P Image

IHC-P analysis of mouse kidney tissue using GTX04910 TRP1 antibody.
Antigen retrieval : Heat mediated citrate buffer
Dilution : 1:100

1 / 2
Anti-TRP1 antibody used in Western Blot (WB). GTX04910
GTX04910 WB Image

WB analysis of human skin tissue lysate using GTX04910 TRP1 antibody. The lane on the left was treated with blocking peptide.

2 / 2
Anti-TRP1 antibody used in IHC (Paraffin sections) (IHC-P). GTX04910
Anti-TRP1 antibody used in Western Blot (WB). GTX04910
  • Host
    Rabbit
  • Clonality
    Polyclonal
  • Isotype
    IgG
  • Applications
    WB IHC-P
  • Reactivity
    Human, Mouse
See all TRP1 products