TSEN2 antibody

Cat. No. GTX32940
Cat. No.  GTX32940
Anti-TSEN2 antibody used in Immunocytochemistry/ Immunofluorescence (ICC/IF). GTX32940
GTX32940 ICC/IF Image

ICC/IF analysis of A549 cells using GTX32940 TSEN2 antibody.

1 / 2
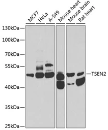
Anti-TSEN2 antibody used in Western Blot (WB). GTX32940
GTX32940 WB Image

WB analysis of various sample lysates using GTX32940 TSEN2 antibody.
Dilution : 1:1000
Loading : 25μg per lane

2 / 2
Anti-TSEN2 antibody used in Immunocytochemistry/ Immunofluorescence (ICC/IF). GTX32940
Anti-TSEN2 antibody used in Western Blot (WB). GTX32940
  • Host
    Rabbit
  • Clonality
    Polyclonal
  • Isotype
    IgG
  • Applications
    WB ICC/IF
  • Reactivity
    Human, Mouse, Rat
See all TSEN2 products