TSG101 antibody [4A10]

Cat. No. GTX70255
Cat. No.  GTX70255
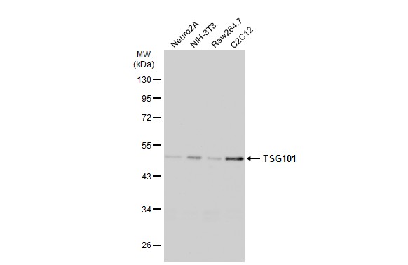
Anti-TSG101 antibody [4A10] used in Western Blot (WB). GTX70255
GTX70255 WB Image

Various whole cell extracts (30 μg) were separated by 10% SDS-PAGE, and the membrane was blotted with TSG101 antibody [4A10] (GTX70255) diluted at 1:500. The HRP-conjugated anti-mouse IgG antibody (GTX213111-01) was used to detect the primary antibody, and the signal was developed with Trident ECL plus-Enhanced.

1 / 37
Anti-TSG101 antibody [4A10] used in Western Blot (WB). GTX70255
GTX70255 WB Image

Various whole cell extracts (30 μg) were separated by 10% SDS-PAGE, and the membrane was blotted with TSG101 antibody [4A10] (GTX70255) diluted at 1:500. The HRP-conjugated anti-mouse IgG antibody (GTX213111-01) was used to detect the primary antibody.

2 / 37
Anti-TSG101 antibody [4A10] used in Western Blot (WB). GTX70255
GTX70255 WB Image

TSG101 antibody [4A10] detects TSG101 protein by western blot analysis.
A. 30 μg NIH-3T3 whole cell lysate/extract
B. 30 μg JC whole cell lysate/extract
C. 30 μg BCL-1 whole cell lysate/extract
10% SDS-PAGE
TSG101 antibody [4A10] (GTX70255) dilution: 1:500
The HRP-conjugated anti-mouse IgG antibody (GTX213111-01) was used to detect the primary antibody.

3 / 37
Anti-TSG101 antibody [4A10] used in Western Blot (WB). GTX70255
GTX70255 WB Image

Various whole cell extracts (30 μg) were separated by 10% SDS-PAGE, and the membrane was blotted with TSG101 antibody [4A10] (GTX70255) diluted at 1:500. The HRP-conjugated anti-mouset IgG antibody (GTX213111-01) was used to detect the primary antibody.

4 / 37
Anti-TSG101 antibody [4A10] used in Flow cytometry (FCM). GTX70255
GTX70255 FCM Image

TSG101 antibody [4A10] (GTX70255) detects TSG101 protein by flow cytometry analysis.
Sample: THP-1 cell.
Black: Unlabelled sample was used as a control.
Red: TSG101 antibody [4A10] (GTX70255) dilution: 1:25.
Acquisition of 20,000 events were collected using a Dylight 488-conjugated secondary antibody for FACS analysis.

5 / 37
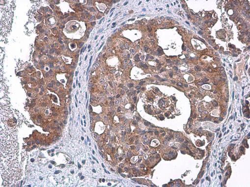
Anti-TSG101 antibody [4A10] used in IHC (Paraffin sections) (IHC-P). GTX70255
GTX70255 IHC-P Image

TSG101 antibody [4A10] detects TSG101 protein at cytoplasm by immunohistochemical analysis.
Sample: Paraffin-embedded human breast carcinoma.
TSG101 stained by TSG101 antibody [4A10] (GTX70255) diluted at 1:100.
Antigen Retrieval: Citrate buffer, pH 6.0, 15 min

6 / 37
Anti-TSG101 antibody [4A10] used in Western Blot (WB). GTX70255
GTX70255 WB Image

Various tissue extracts (50 μg) were separated by 10% SDS-PAGE, and the membrane was blotted with TSG101 antibody [4A10] (GTX70255) diluted at 1:500. The HRP-conjugated anti-mouse IgG antibody (GTX213111-01) was used to detect the primary antibody.

7 / 37
Anti-TSG101 antibody [4A10] used in ELISA (ELISA). GTX70255
GTX70255 ELISA Image

ELISA detection of TSG101 using GTX118736 for capture at a concentration of 5 μg/mL and GTX70255 for detection at a concentration of 1.5 μg/mL.

8 / 37
Anti-TSG101 antibody [4A10] used in IHC (Paraffin sections) (IHC-P). GTX70255
GTX70255 IHC-P Image

TSG101 antibody [4A10] detects TSG101 protein at cytoplasm by immunohistochemical analysis.
Sample: Paraffin-embedded human ovarian cancer.
TSG101 stained by TSG101 antibody [4A10] (GTX70255) diluted at 1:100.
Antigen Retrieval: Citrate buffer, pH 6.0, 15 min

9 / 37
Anti-TSG101 antibody [4A10] used in Western Blot (WB). GTX70255
GTX70255 WB Image

Non-transfected (–) and transfected (+) 293T whole cell extracts (30 μg) were separated by 10% SDS-PAGE, and the membrane was blotted with TSG101 antibody [4A10] (GTX70255) diluted at 1:500. The HRP-conjugated anti-mouse IgG antibody (GTX213111-01) was used to detect the primary antibody.

10 / 37
Anti-TSG101 antibody [4A10] used in IHC (Paraffin sections) (IHC-P). GTX70255
GTX70255 IHC-P Image

TSG101 antibody [4A10] detects TSG101 protein at cytoplasm by immunohistochemical analysis.
Sample: Paraffin-embedded human lung cancer.
TSG101 stained by TSG101 antibody [4A10] (GTX70255) diluted at 1:50.
Antigen Retrieval: Citrate buffer, pH 6.0, 15 min

11 / 37
Anti-TSG101 antibody [4A10] used in Western Blot (WB). GTX70255
GTX70255 WB Image

The data was published in the journal J Exp Clin Cancer Res in 2018. PMID: 30290833

12 / 37
Anti-TSG101 antibody [4A10] used in Western Blot (WB). GTX70255
GTX70255 WB Image

The data was published in the journal Int J Mol Sci in 2020. PMID: 32230970

13 / 37
Anti-TSG101 antibody [4A10] used in Western Blot (WB). GTX70255
GTX70255 WB Image

The data was published in the journal Virol J in 2008. PMID: 18267010

14 / 37
Anti-TSG101 antibody [4A10] used in Western Blot (WB). GTX70255
GTX70255 WB Image

The data was published in the journal PLoS Pathog in 2016. PMID: 27203423

15 / 37
Anti-TSG101 antibody [4A10] used in Western Blot (WB). GTX70255
GTX70255 WB Image

The data was published in the journal Sci Rep in 2017. PMID: 28963552

16 / 37
Anti-TSG101 antibody [4A10] used in Western Blot (WB). GTX70255
GTX70255 WB Image

The data was published in the journal J Cell Sci in 2015.PMID: 26002056

17 / 37
Anti-TSG101 antibody [4A10] used in Western Blot (WB). GTX70255
GTX70255 WB Image

The data was published in the journal J Extracell Vesicles in 2012.PMID: 24009879

18 / 37
Anti-TSG101 antibody [4A10] used in Western Blot (WB). GTX70255
GTX70255 WB Image

The data was published in the journal Sci Rep in 2017.PMID: 28303002

19 / 37
Anti-TSG101 antibody [4A10] used in Western Blot (WB). GTX70255
GTX70255 WB Image

The data was published in the Nat Commun in 2016. PMID: 27882925

20 / 37
Anti-TSG101 antibody [4A10] used in Western Blot (WB). GTX70255
GTX70255 WB Image

The data was published in the Nat Commun in 2016. PMID: 27882925

21 / 37
Anti-TSG101 antibody [4A10] used in Western Blot (WB). GTX70255
GTX70255 WB Image

The data was published in the 2021 in Sci Rep. PMID: 34127763

22 / 37
Anti-TSG101 antibody [4A10] used in Western Blot (WB). GTX70255
GTX70255 WB Image

The data was published in the 2020 in Eur J Neurosci. PMID: 32939863

23 / 37
Anti-TSG101 antibody [4A10] used in Western Blot (WB). GTX70255
GTX70255 WB Image

The data was published in the 2020 in Eur J Neurosci. PMID: 32939863

24 / 37
Anti-TSG101 antibody [4A10] used in Western Blot (WB). GTX70255
GTX70255 WB Image

The data was published in the journal PLoS One in 2018. PMID: 29953492

25 / 37
Anti-TSG101 antibody [4A10] used in Western Blot (WB). GTX70255
GTX70255 WB Image

The data was published in the journal Cell Death Dis in 2018. PMID: 29743530

26 / 37
Anti-TSG101 antibody [4A10] used in Western Blot (WB). GTX70255
GTX70255 WB Image

The data was published in the journal Front Neurosci in 2019. PMID: 32009885

27 / 37
Anti-TSG101 antibody [4A10] used in Immunocytochemistry/ Immunofluorescence (ICC/IF). GTX70255
GTX70255 ICC/IF Image

The data was published in the journal PLoS Pathog in 2015. PMID: 25710462

28 / 37
Anti-TSG101 antibody [4A10] used in Western Blot (WB). GTX70255
GTX70255 WB Image

The data was published in the journal PLoS One in 2017. PMID: 28241021

29 / 37
Anti-TSG101 antibody [4A10] used in IHC (Free Floating) (IHC (Free Floating)). GTX70255
GTX70255 IHC (Free Floating) Image

The data was published in the journal Mol Neurodegener in 2017.PMID: 28835279

30 / 37
Anti-TSG101 antibody [4A10] used in Immunocytochemistry/ Immunofluorescence (ICC/IF). GTX70255
GTX70255 ICC/IF Image

The data was published in the journal Mol Neurodegener in 2017.PMID: 28835279

31 / 37
Anti-TSG101 antibody [4A10] used in Western Blot (WB). GTX70255
GTX70255 WB Image

The data was published in the journal PLoS Biol in 2013.PMID: 23874151

32 / 37
Anti-TSG101 antibody [4A10] used in Western Blot (WB). GTX70255
GTX70255 WB Image

The data was published in the journal Acta Neuropathol Commun in 2017.PMID: 28851452

33 / 37
Anti-TSG101 antibody [4A10] used in Western Blot (WB). GTX70255
GTX70255 WB Image

The data was published in the journal Nat Commun in 2015.PMID: 26103923

34 / 37
Anti-TSG101 antibody [4A10] used in Western Blot (WB). GTX70255
GTX70255 WB Image

The data was published in the journal Mol Neurodegener in 2017.PMID: 28835279

35 / 37
Anti-TSG101 antibody [4A10] used in Western Blot (WB). GTX70255
GTX70255 WB Image

The data was published in the journal Acta Neuropathol Commun in 2017.PMID: 28851452

36 / 37
Anti-TSG101 antibody [4A10] used in Western Blot (WB). GTX70255
GTX70255 WB Image

The data was published in the journal Acta Neuropathol Commun in 2017.PMID: 28851452

37 / 37
Anti-TSG101 antibody [4A10] used in Western Blot (WB). GTX70255
Anti-TSG101 antibody [4A10] used in Western Blot (WB). GTX70255
Anti-TSG101 antibody [4A10] used in Western Blot (WB). GTX70255
Anti-TSG101 antibody [4A10] used in Western Blot (WB). GTX70255
Anti-TSG101 antibody [4A10] used in Flow cytometry (FCM). GTX70255
Anti-TSG101 antibody [4A10] used in IHC (Paraffin sections) (IHC-P). GTX70255
Anti-TSG101 antibody [4A10] used in Western Blot (WB). GTX70255
Anti-TSG101 antibody [4A10] used in ELISA (ELISA). GTX70255
Anti-TSG101 antibody [4A10] used in IHC (Paraffin sections) (IHC-P). GTX70255
Anti-TSG101 antibody [4A10] used in Western Blot (WB). GTX70255
Anti-TSG101 antibody [4A10] used in IHC (Paraffin sections) (IHC-P). GTX70255
Anti-TSG101 antibody [4A10] used in Western Blot (WB). GTX70255
Anti-TSG101 antibody [4A10] used in Western Blot (WB). GTX70255
Anti-TSG101 antibody [4A10] used in Western Blot (WB). GTX70255
Anti-TSG101 antibody [4A10] used in Western Blot (WB). GTX70255
Anti-TSG101 antibody [4A10] used in Western Blot (WB). GTX70255
Anti-TSG101 antibody [4A10] used in Western Blot (WB). GTX70255
Anti-TSG101 antibody [4A10] used in Western Blot (WB). GTX70255
Anti-TSG101 antibody [4A10] used in Western Blot (WB). GTX70255
Anti-TSG101 antibody [4A10] used in Western Blot (WB). GTX70255
Anti-TSG101 antibody [4A10] used in Western Blot (WB). GTX70255
Anti-TSG101 antibody [4A10] used in Western Blot (WB). GTX70255
Anti-TSG101 antibody [4A10] used in Western Blot (WB). GTX70255
Anti-TSG101 antibody [4A10] used in Western Blot (WB). GTX70255
Anti-TSG101 antibody [4A10] used in Western Blot (WB). GTX70255
Anti-TSG101 antibody [4A10] used in Western Blot (WB). GTX70255
Anti-TSG101 antibody [4A10] used in Western Blot (WB). GTX70255
Anti-TSG101 antibody [4A10] used in Immunocytochemistry/ Immunofluorescence (ICC/IF). GTX70255
Anti-TSG101 antibody [4A10] used in Western Blot (WB). GTX70255
Anti-TSG101 antibody [4A10] used in IHC (Free Floating) (IHC (Free Floating)). GTX70255
Anti-TSG101 antibody [4A10] used in Immunocytochemistry/ Immunofluorescence (ICC/IF). GTX70255
Anti-TSG101 antibody [4A10] used in Western Blot (WB). GTX70255
Anti-TSG101 antibody [4A10] used in Western Blot (WB). GTX70255
Anti-TSG101 antibody [4A10] used in Western Blot (WB). GTX70255
Anti-TSG101 antibody [4A10] used in Western Blot (WB). GTX70255
Anti-TSG101 antibody [4A10] used in Western Blot (WB). GTX70255
Anti-TSG101 antibody [4A10] used in Western Blot (WB). GTX70255
  • Host
    Mouse
  • Clonality
    Monoclonal
  • Clone Name
    4A10
  • Isotype
    IgG1
  • Applications
    WB ICC/IF IHC-P FCM IP ELISA EM IHC IHC (Free Floating)
  • Reactivity
    Human, Mouse, Rat, Zebrafish, Dog, Hamster, Pig, Monkey
Summary
TSG101 antibody [4A10] is a well-validated and highly cited mouse monoclonal antibody that detects TSG101, a protein of 390 amino acids and a predicted molecular weight of 44 kDa that is a core constituent of the ESCRT-I complex. Reports have described it having both tumor suppressor and tumor enhancer activities. TSG101 is involved in exosome secretion and is commonly used as an exosome marker.
See all TSG101 products