TTLL12 antibody [7F11]

Cat. No. GTX83469
Cat. No.  GTX83469
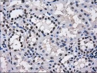
Anti-TTLL12 antibody [7F11] used in IHC (Paraffin sections) (IHC-P). GTX83469
GTX83469 IHC-P Image

IHC-P analysis of kidney tissue using GTX83469 TTLL12 antibody [7F11].
Antigen retrieval : Heat-induced epitope retrieval by 10mM citrate buffer, pH6.0, 100ºC for 10min.
Dilution : 1:50

1 / 10
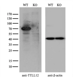
Anti-TTLL12 antibody [7F11] used in Western Blot (WB). GTX83469
GTX83469 WB Image

WB analysis of wild type and TTLL12 knock out 293T cell lysate(10μg per lane) using GTX83469 TTLL12 antibody [7F11].
Dilution : 1:500

2 / 10
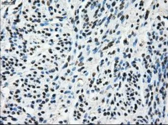
Anti-TTLL12 antibody [7F11] used in IHC (Paraffin sections) (IHC-P). GTX83469
GTX83469 IHC-P Image

IHC-P analysis of ovary tissue using GTX83469 TTLL12 antibody [7F11].
Antigen retrieval : Heat-induced epitope retrieval by 10mM citrate buffer, pH6.0, 100ºC for 10min.
Dilution : 1:50

3 / 10
Anti-TTLL12 antibody [7F11] used in Flow cytometry (FCM). GTX83469
GTX83469 FCM Image

FACS analysis of Jurkat cells using GTX83469 TTLL12 antibody [7F11].
Red : Primary antibody
Blue : Negative control antibody

4 / 10
Anti-TTLL12 antibody [7F11] used in Western Blot (WB). GTX83469
GTX83469 WB Image

WB analysis of various cell lines using GTX83469 TTLL12 antibody [7F11].
Loading : 35 ug per lane

5 / 10
Anti-TTLL12 antibody [7F11] used in Immunocytochemistry/ Immunofluorescence (ICC/IF). GTX83469
GTX83469 ICC/IF Image

ICC/IF analysis of HepG2 cells using GTX83469 TTLL12 antibody [7F11].

6 / 10
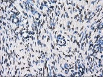
Anti-TTLL12 antibody [7F11] used in IHC (Paraffin sections) (IHC-P). GTX83469
GTX83469 IHC-P Image

IHC-P analysis of endometrium tissue using GTX83469 TTLL12 antibody [7F11].
Antigen retrieval : Heat-induced epitope retrieval by 10mM citrate buffer, pH6.0, 100ºC for 10min.
Dilution : 1:50

7 / 10
Anti-TTLL12 antibody [7F11] used in Western Blot (WB). GTX83469
GTX83469 WB Image

WB analysis of HEK293T cells transfected with TTLL12 plasmid (Right) or empty vector (Left) for 48 hrs using GTX83469 TTLL12 antibody [7F11].
Loading : 5 ug per lane

8 / 10
Anti-TTLL12 antibody [7F11] used in Flow cytometry (FCM). GTX83469
GTX83469 FCM Image

FACS analysis of HeLa cells using GTX83469 TTLL12 antibody [7F11].
Red : Primary antibody
Blue : Negative control antibody

9 / 10
Anti-TTLL12 antibody [7F11] used in Immunocytochemistry/ Immunofluorescence (ICC/IF). GTX83469
GTX83469 ICC/IF Image

ICC/IF analysis of COS7 cells transiently transfected with TTLL12 plasmid using GTX83469 TTLL12 antibody [7F11].

10 / 10
Anti-TTLL12 antibody [7F11] used in IHC (Paraffin sections) (IHC-P). GTX83469
Anti-TTLL12 antibody [7F11] used in Western Blot (WB). GTX83469
Anti-TTLL12 antibody [7F11] used in IHC (Paraffin sections) (IHC-P). GTX83469
Anti-TTLL12 antibody [7F11] used in Flow cytometry (FCM). GTX83469
Anti-TTLL12 antibody [7F11] used in Western Blot (WB). GTX83469
Anti-TTLL12 antibody [7F11] used in Immunocytochemistry/ Immunofluorescence (ICC/IF). GTX83469
Anti-TTLL12 antibody [7F11] used in IHC (Paraffin sections) (IHC-P). GTX83469
Anti-TTLL12 antibody [7F11] used in Western Blot (WB). GTX83469
Anti-TTLL12 antibody [7F11] used in Flow cytometry (FCM). GTX83469
Anti-TTLL12 antibody [7F11] used in Immunocytochemistry/ Immunofluorescence (ICC/IF). GTX83469
  • Host
    Mouse
  • Clonality
    Monoclonal
  • Clone Name
    7F11
  • Isotype
    IgG1
  • Applications
    WB ICC/IF IHC-P FCM
  • Reactivity
    Human, Rat, Dog, Monkey
See all TTLL12 products