TUFM antibody [N3C3]

Cat. No. GTX101764
Cat. No.  GTX101764
Anti-TUFM antibody [N3C3] used in Western Blot (WB). GTX101764
GTX101764 WB Image

Sample (30 ug of whole cell lysate)
A: A431 (GTX27909)
10% SDS PAGE
GTX101764 diluted at 1:2000

1 / 3
Anti-TUFM antibody [N3C3] used in Immunoprecipitation (IP). GTX101764
GTX101764 IP Image

TUFM antibody [N3C3] immunoprecipitates TUFM protein in IP experiments.
IP samples: HepG2 whole cell extract
A. 35 μg HepG2 whole cell extract
B. Control with 4 μg of preimmune Rabbit IgG
C. Immunoprecipitation of TUFM protein by 4 μg TUFM antibody [N3C3] (GTX101764)
10 % SDS-PAGE
The immunoprecipitated TUFM protein was detected by TUFM antibody [N3C3] (GTX101764) diluted at 1:1000.
[EasyBlot anti-rabbit IgG (GTX221666-01) was used as a secondary reagent]

2 / 3
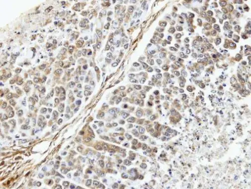
Anti-TUFM antibody [N3C3] used in IHC (Paraffin sections) (IHC-P). GTX101764
GTX101764 IHC-P Image

Immunohistochemical analysis of paraffin-embedded SNU16 xenograft, using TUFM(GTX101764) antibody at 1:100 dilution.
Antigen Retrieval: Trilogy™ (EDTA based, pH 8.0) buffer, 15min

3 / 3
Anti-TUFM antibody [N3C3] used in Western Blot (WB). GTX101764
Anti-TUFM antibody [N3C3] used in Immunoprecipitation (IP). GTX101764
Anti-TUFM antibody [N3C3] used in IHC (Paraffin sections) (IHC-P). GTX101764
  • Host
    Rabbit
  • Clonality
    Polyclonal
  • Isotype
    IgG
  • Applications
    WB IHC-P IP PLA
  • Reactivity
    Human
See all TUFM products