Talin-1 antibody [C3], C-term

Cat. No. GTX102215
Cat. No.  GTX102215
Anti-Talin-1 antibody [C3], C-term used in Western Blot (WB). GTX102215
GTX102215 WB Image

Various whole cell extracts (30 μg) were separated by 5% SDS-PAGE, and the membrane was blotted with Talin-1 antibody [C3], C-term (GTX102215) diluted at 1:500.

1 / 3
Anti-Talin-1 antibody [C3], C-term used in Western Blot (WB). GTX102215
GTX102215 WB Image

Talin 1 antibody detects Talin 1 protein by Western blot analysis. Various whole cell extracts (30 μg) were separated by 5% SDS-PAGE, and the membrane was blotted with Talin 1 antibody (GTX102215) diluted by 1:500.

2 / 3
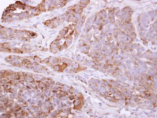
Anti-Talin-1 antibody [C3], C-term used in IHC (Paraffin sections) (IHC-P). GTX102215
GTX102215 IHC-P Image

Talin 1 antibody [C3], C-term detects TLN1 protein at cytosol on H357 xenograft by immunohistochemical analysis.
Sample: Paraffin-embedded H357 xenograft.
Talin 1 antibody [C3], C-term (GTX102215) dilution: 1:500.

Antigen Retrieval: Trilogy™ (EDTA based, pH 8.0) buffer, 15min

3 / 3
Anti-Talin-1 antibody [C3], C-term used in Western Blot (WB). GTX102215
Anti-Talin-1 antibody [C3], C-term used in Western Blot (WB). GTX102215
Anti-Talin-1 antibody [C3], C-term used in IHC (Paraffin sections) (IHC-P). GTX102215
  • Host
    Rabbit
  • Clonality
    Polyclonal
  • Isotype
    IgG
  • Applications
    WB IHC-P
  • Reactivity
    Human, Mouse
See all Talin-1 products