Thrombospondin 2 antibody

Cat. No. GTX64459
Cat. No.  GTX64459
Anti-Thrombospondin 2 antibody used in Western Blot (WB). GTX64459
GTX64459 WB Image

WB analysis of various sample lysates using GTX64459 Thrombospondin 2 antibody. The signal was developed with ECL plus-Enhanced.
Dilution : 1:1000
Loading : 25μg per lane

1 / 2
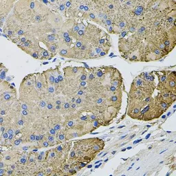
Anti-Thrombospondin 2 antibody used in IHC (Paraffin sections) (IHC-P). GTX64459
GTX64459 IHC-P Image

IHC-P analysis of human stomach tissue using GTX64459 Thrombospondin 2 antibody.
Dilution : 1:100

2 / 2
Anti-Thrombospondin 2 antibody used in Western Blot (WB). GTX64459
Anti-Thrombospondin 2 antibody used in IHC (Paraffin sections) (IHC-P). GTX64459
  • Host
    Rabbit
  • Clonality
    Polyclonal
  • Isotype
    IgG
  • Applications
    WB IHC-P
  • Reactivity
    Human, Mouse, Rat
See all Thrombospondin 2 products