Thyroid Hormone Receptor alpha antibody

Cat. No. GTX25621
Cat. No.  GTX25621
Anti-Thyroid Hormone Receptor alpha antibody used in Immunocytochemistry/ Immunofluorescence (ICC/IF). GTX25621
GTX25621 ICC/IF Image

ICC/IF analysis of U251 cells using GTX25621 Thyroid Hormone Receptor alpha antibody. Cells were probed without (left) or with(right) an antibody.
Green : Primary antibody
Blue : Nuclei
Red : Actin
Fixation : Formalin
Permeabilization : 0.1% Triton X-100 in TBS for 5-10 minute
Dilution : 1:100 incubated overnight at 4 ºC

1 / 10
Anti-Thyroid Hormone Receptor alpha antibody used in Western Blot (WB). GTX25621
GTX25621 WB Image

WB analysis of 25 ug of A431 (lane 1), rat thyroid (lane 2) and mouse thyroid (lane 3) cell lysates using GTX25621 Thyroid Hormone Receptor alpha antibody.
Dilution : 1:500

2 / 10
Anti-Thyroid Hormone Receptor alpha antibody used in IHC (Paraffin sections) (IHC-P). GTX25621
GTX25621 IHC-P Image

IHC-P analysis of rat thyroid tissue using GTX25621 Thyroid Hormone Receptor alpha antibody.
Right : Primary antibody
Left : Negative control without primary antibody
Antigen retrieval : 10mM sodium citrate (pH 6.0), microwaved for 8-15 min
Dilution : 1:200

3 / 10
Anti-Thyroid Hormone Receptor alpha antibody used in IHC (Paraffin sections) (IHC-P). GTX25621
GTX25621 IHC-P Image

IHC-P analysis of human colon carcinoma tissue using GTX25621 Thyroid Hormone Receptor alpha antibody.
Right : Primary antibody
Left : Negative control without primary antibody
Antigen retrieval : 10mM sodium citrate (pH 6.0), microwaved for 8-15 min
Dilution : 1:500

4 / 10
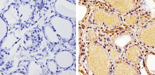
Anti-Thyroid Hormone Receptor alpha antibody used in IHC (Paraffin sections) (IHC-P). GTX25621
GTX25621 IHC-P Image

IHC-P analysis of human thyroid tissue using GTX25621 Thyroid Hormone Receptor alpha antibody.
Right : Primary antibody
Left : Negative control without primary antibody
Antigen retrieval : 10mM sodium citrate (pH 6.0), microwaved for 8-15 min
Dilution : 1:20

5 / 10
Anti-Thyroid Hormone Receptor alpha antibody used in Immunocytochemistry/ Immunofluorescence (ICC/IF). GTX25621
GTX25621 ICC/IF Image

ICC/IF analysis of A431 cells using GTX25621 Thyroid Hormone Receptor alpha antibody. Cells were probed without (left) or with(right) an antibody.
Green : Primary antibody
Blue : Nuclei
Red : Actin
Fixation : Formalin
Permeabilization : 0.1% Triton X-100 in TBS for 5-10 minute
Dilution : 1:100 incubated overnight at 4 ºC

6 / 10
Anti-Thyroid Hormone Receptor alpha antibody used in IHC (Paraffin sections) (IHC-P). GTX25621
GTX25621 IHC-P Image

IHC-P analysis of human skin tissue using GTX25621 Thyroid Hormone Receptor alpha antibody.
Right : Primary antibody
Left : Negative control without primary antibody
Antigen retrieval : 10mM sodium citrate (pH 6.0), microwaved for 8-15 min
Dilution : 1:100

7 / 10
Anti-Thyroid Hormone Receptor alpha antibody used in Immunocytochemistry/ Immunofluorescence (ICC/IF). GTX25621
GTX25621 ICC/IF Image

ICC/IF analysis of L6 cells using GTX25621 Thyroid Hormone Receptor alpha antibody. Cells were probed without (left) or with(right) an antibody.
Green : Primary antibody
Blue : Nuclei
Red : Actin
Fixation : Formalin
Permeabilization : 0.1% Triton X-100 in TBS for 5-10 minute
Dilution : 1:100 incubated overnight at 4 ºC

8 / 10
Anti-Thyroid Hormone Receptor alpha antibody used in IHC (Paraffin sections) (IHC-P). GTX25621
GTX25621 IHC-P Image

IHC-P analysis of human thyroid tissue using GTX25621 Thyroid Hormone Receptor alpha antibody.
Right : Primary antibody
Left : Negative control without primary antibody
Antigen retrieval : 10mM sodium citrate (pH 6.0), microwaved for 8-15 min
Dilution : 1:500

9 / 10
Anti-Thyroid Hormone Receptor alpha antibody used in IHC (Paraffin sections) (IHC-P). GTX25621
GTX25621 IHC-P Image

IHC-P analysis of mouse thyroid tissue using GTX25621 Thyroid Hormone Receptor alpha antibody.
Right : Primary antibody
Left : Negative control without primary antibody
Antigen retrieval : 10mM sodium citrate (pH 6.0), microwaved for 8-15 min
Dilution : 1:20

10 / 10
Anti-Thyroid Hormone Receptor alpha antibody used in Immunocytochemistry/ Immunofluorescence (ICC/IF). GTX25621
Anti-Thyroid Hormone Receptor alpha antibody used in Western Blot (WB). GTX25621
Anti-Thyroid Hormone Receptor alpha antibody used in IHC (Paraffin sections) (IHC-P). GTX25621
Anti-Thyroid Hormone Receptor alpha antibody used in IHC (Paraffin sections) (IHC-P). GTX25621
Anti-Thyroid Hormone Receptor alpha antibody used in IHC (Paraffin sections) (IHC-P). GTX25621
Anti-Thyroid Hormone Receptor alpha antibody used in Immunocytochemistry/ Immunofluorescence (ICC/IF). GTX25621
Anti-Thyroid Hormone Receptor alpha antibody used in IHC (Paraffin sections) (IHC-P). GTX25621
Anti-Thyroid Hormone Receptor alpha antibody used in Immunocytochemistry/ Immunofluorescence (ICC/IF). GTX25621
Anti-Thyroid Hormone Receptor alpha antibody used in IHC (Paraffin sections) (IHC-P). GTX25621
Anti-Thyroid Hormone Receptor alpha antibody used in IHC (Paraffin sections) (IHC-P). GTX25621
  • Host
    Rabbit
  • Clonality
    Polyclonal
  • Isotype
    IgG
  • Applications
    WB ICC/IF IHC-P IHC-Fr Gel supershift assays IHC
  • Reactivity
    Zebra finch, Human, Mouse, Rat, Sheep, Chicken, Xenopus, Primate
See all Thyroid Hormone Receptor alpha products