Thyroid Hormone Receptor antibody [C3]

Cat. No. GTX22743
Cat. No.  GTX22743
Anti-Thyroid Hormone Receptor antibody [C3] used in IHC (Paraffin sections) (IHC-P). GTX22743
GTX22743 IHC-P Image

IHC-P analysis of mouse thyroid tissue using GTX22743 Thyroid Hormone Receptor antibody [C3].
Right : Primary antibody
Left : Negative control without primary antibody
Antigen retrieval : 10mM sodium citrate (pH 6.0), microwaved for 8-15 min
Dilution : 1:20

1 / 7
Anti-Thyroid Hormone Receptor antibody [C3] used in IHC (Paraffin sections) (IHC-P). GTX22743
GTX22743 IHC-P Image

IHC-P analysis of human thyroid tissue using GTX22743 Thyroid Hormone Receptor antibody [C3].
Left : Primary antibody
Right : Negative control without primary antibody
Antigen retrieval : heat induced antigen retrieval was performed using 10mM sodium citrate (pH6.0) buffer, microwaved for 8-15 minutes
Dilution : 1:20

2 / 7
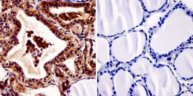
Anti-Thyroid Hormone Receptor antibody [C3] used in IHC (Paraffin sections) (IHC-P). GTX22743
GTX22743 IHC-P Image

IHC-P analysis of human thyroid tissue using GTX22743 Thyroid Hormone Receptor antibody [C3].
Right : Primary antibody
Left : Negative control without primary antibody
Antigen retrieval : 10mM sodium citrate (pH 6.0), microwaved for 8-15 min
Dilution : 1:20

3 / 7
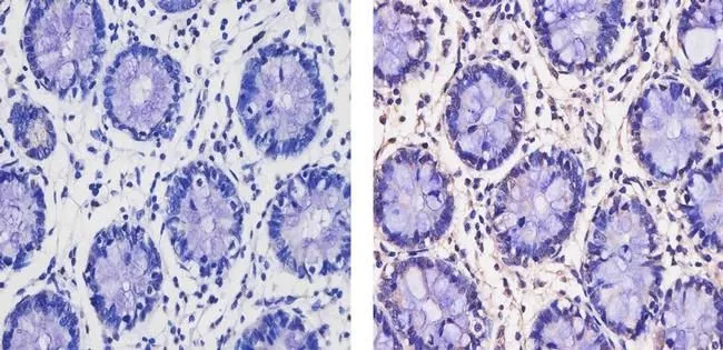
Anti-Thyroid Hormone Receptor antibody [C3] used in IHC (Paraffin sections) (IHC-P). GTX22743
GTX22743 IHC-P Image

IHC-P analysis of human colon tissue using GTX22743 Thyroid Hormone Receptor antibody [C3].
Right : Primary antibody
Left : Negative control without primary antibody
Antigen retrieval : 10mM sodium citrate (pH 6.0), microwaved for 8-15 min
Dilution : 1:20

4 / 7
Anti-Thyroid Hormone Receptor antibody [C3] used in Immunocytochemistry/ Immunofluorescence (ICC/IF). GTX22743
GTX22743 ICC/IF Image

ICC/IF analysis of HepG2 cells using GTX22743 Thyroid Hormone Receptor antibody [C3]. Cells were probed without (right) or with(left) an antibody.
Green : Primary antibody
Blue : Nuclei
Red : Actin
Fixation : formaldehyde
Dilution : 1:20 overnight at 4ºC

5 / 7
Anti-Thyroid Hormone Receptor antibody [C3] used in Immunocytochemistry/ Immunofluorescence (ICC/IF). GTX22743
GTX22743 ICC/IF Image

ICC/IF analysis of HeLa cells using GTX22743 Thyroid Hormone Receptor antibody [C3]. Cells were probed without (right) or with(left) an antibody.
Green : Primary antibody
Blue : Nuclei
Red : Actin
Fixation : formaldehyde
Dilution : 1:20 overnight at 4ºC

6 / 7
Anti-Thyroid Hormone Receptor antibody [C3] used in Western Blot (WB). GTX22743
GTX22743 WB Image

WB analysis of samples using GTX22743 Thyroid Hormone Receptor antibody [C3].

7 / 7
Anti-Thyroid Hormone Receptor antibody [C3] used in IHC (Paraffin sections) (IHC-P). GTX22743
Anti-Thyroid Hormone Receptor antibody [C3] used in IHC (Paraffin sections) (IHC-P). GTX22743
Anti-Thyroid Hormone Receptor antibody [C3] used in IHC (Paraffin sections) (IHC-P). GTX22743
Anti-Thyroid Hormone Receptor antibody [C3] used in IHC (Paraffin sections) (IHC-P). GTX22743
Anti-Thyroid Hormone Receptor antibody [C3] used in Immunocytochemistry/ Immunofluorescence (ICC/IF). GTX22743
Anti-Thyroid Hormone Receptor antibody [C3] used in Immunocytochemistry/ Immunofluorescence (ICC/IF). GTX22743
Anti-Thyroid Hormone Receptor antibody [C3] used in Western Blot (WB). GTX22743
  • Host
    Mouse
  • Clonality
    Monoclonal
  • Clone Name
    C3
  • Isotype
    IgG1
  • Applications
    WB ICC/IF IHC-P IP Gel supershift assays
  • Reactivity
    Human, Mouse, Rat, Xenopus, Primate
See all Thyroid Hormone Receptor products