Topoisomerase II alpha (phospho Ser1106) antibody

Cat. No. GTX55437
Cat. No.  GTX55437
Anti-Topoisomerase II alpha (phospho Ser1106) antibody used in Western Blot (WB). GTX55437
GTX55437 WB Image

WB analysis of extracts from Jurkat cells treated with paclitaxel (1uM 24 hours) using GTX55437 Topoisomerase II alpha (phospho Ser1106) antibody.
Left : Primary antibody
Right : Primary antibody pre-incubated with the antigen specific peptide

1 / 2
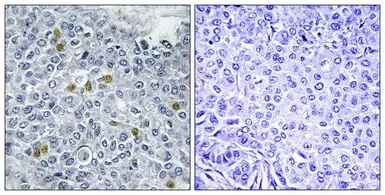
Anti-Topoisomerase II alpha (phospho Ser1106) antibody used in IHC (Paraffin sections) (IHC-P). GTX55437
GTX55437 IHC-P Image

IHC-P analysis of human breast carcinoma tissue using GTX55437 Topoisomerase II alpha (phospho Ser1106) antibody.
Left : Primary antibody
Right : Primary antibody pre-incubated with the antigen specific peptide

2 / 2
Anti-Topoisomerase II alpha (phospho Ser1106) antibody used in Western Blot (WB). GTX55437
Anti-Topoisomerase II alpha (phospho Ser1106) antibody used in IHC (Paraffin sections) (IHC-P). GTX55437
  • Host
    Rabbit
  • Clonality
    Polyclonal
  • Isotype
    IgG
  • Applications
    WB IHC-P
  • Reactivity
    Human
See all Topoisomerase II alpha products