Transferrin antibody [N3C3]

Cat. No. GTX101035
Cat. No.  GTX101035
Anti-Transferrin antibody [N3C3] used in Western Blot (WB). GTX101035
GTX101035 WB Image

Human plasma (30 μg) was separated by 7.5% SDS-PAGE, and the membrane was blotted with Transferrin antibody [N3C3] (GTX101035) diluted at 1:1000. The HRP-conjugated anti-rabbit IgG antibody (GTX213110-01) was used to detect the primary antibody.

1 / 4
Anti-Transferrin antibody [N3C3] used in Western Blot (WB). GTX101035
GTX101035 WB Image

Mouse tissue extract (50 μg) was separated by 7.5% SDS-PAGE, and the membrane was blotted with Transferrin antibody [N3C3] (GTX101035) diluted at 1:1000. The HRP-conjugated anti-rabbit IgG antibody (GTX213110-01) was used to detect the primary antibody.

2 / 4
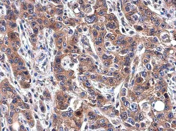
Anti-Transferrin antibody [N3C3] used in IHC (Paraffin sections) (IHC-P). GTX101035
GTX101035 IHC-P Image

Transferrin antibody [N3C3] detects Transferrin protein at cytoplasm in human esophageal carcinoma by immunohistochemical analysis.
Sample: Paraffin-embedded human esophageal carcinoma.
Transferrin antibody [N3C3] (GTX101035) diluted at 1:500.

Antigen Retrieval: Citrate buffer, pH 6.0, 15 min

3 / 4
Anti-Transferrin antibody [N3C3] used in Western Blot (WB). GTX101035
GTX101035 WB Image

Various whole cell extracts (30 μg) were separated by 7.5% SDS-PAGE, and the membrane was blotted with Transferrin antibody [N3C3] (GTX101035) diluted at 1:2000. The HRP-conjugated anti-rabbit IgG antibody (GTX213110-01) was used to detect the primary antibody. Corresponding RNA expression data for the same cell lines are based on Human Protein Atlas program.

4 / 4
Anti-Transferrin antibody [N3C3] used in Western Blot (WB). GTX101035
Anti-Transferrin antibody [N3C3] used in Western Blot (WB). GTX101035
Anti-Transferrin antibody [N3C3] used in IHC (Paraffin sections) (IHC-P). GTX101035
Anti-Transferrin antibody [N3C3] used in Western Blot (WB). GTX101035
  • Host
    Rabbit
  • Clonality
    Polyclonal
  • Isotype
    IgG
  • Applications
    WB IHC-P
  • Reactivity
    Human, Mouse
See all Transferrin products