TrkC antibody [7H6]

Cat. No. GTX83321
Cat. No.  GTX83321
Anti-TrkC antibody [7H6] used in Western Blot (WB). GTX83321
GTX83321 WB Image

WB analysis of extracellular domain of human NTRK3 (aa32-429) using GTX83321 TrkC antibody [7H6].

1 / 2
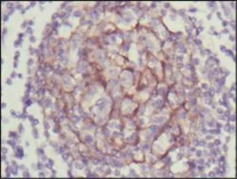
Anti-TrkC antibody [7H6] used in IHC (Paraffin sections) (IHC-P). GTX83321
GTX83321 IHC-P Image

IHC-P analysis of human lymph node using GTX83321 TrkC antibody [7H6].

2 / 2
Anti-TrkC antibody [7H6] used in Western Blot (WB). GTX83321
Anti-TrkC antibody [7H6] used in IHC (Paraffin sections) (IHC-P). GTX83321
  • Host
    Mouse
  • Clonality
    Monoclonal
  • Clone Name
    7H6
  • Isotype
    IgG1
  • Applications
    WB IHC-P ELISA
  • Reactivity
    Human
See all TrkC products