Troponin I fast skeletal muscle antibody [2F12A8]

Cat. No. GTX60509
Cat. No.  GTX60509
Anti-Troponin I fast skeletal muscle antibody [2F12A8] used in ELISA (ELISA). GTX60509
GTX60509 ELISA Image

ELISA analysis of antigen using GTX60509 Troponin I fast skeletal muscle antibody [2F12A8].
Red : Control antigen 100ng
Purple : Antigen 10ng
Green : Antigen 50ng
Blue : Antigen 100ng

1 / 6
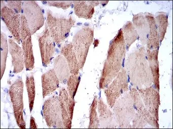
Anti-Troponin I fast skeletal muscle antibody [2F12A8] used in IHC (Paraffin sections) (IHC-P). GTX60509
GTX60509 IHC-P Image

IHC-P analysis of human cardiac muscle tissue using GTX60509 Troponin I fast skeletal muscle antibody [2F12A8].

2 / 6
Anti-Troponin I fast skeletal muscle antibody [2F12A8] used in Flow cytometry (FCM). GTX60509
GTX60509 FCM Image

FACS analysis of NIH3T3 cells using GTX60509 Troponin I fast skeletal muscle antibody [2F12A8].
Blue : Troponin I fast skeletal muscle
Red : negative control

3 / 6
Anti-Troponin I fast skeletal muscle antibody [2F12A8] used in Western Blot (WB). GTX60509
GTX60509 WB Image

WB analysis of HEK293 (1) and Troponin I fast skeletal muscle (AA: 1-182)-hIgGFc transfected HEK293 (2) cell lysate using GTX60509 Troponin I fast skeletal muscle antibody [2F12A8].

4 / 6
Anti-Troponin I fast skeletal muscle antibody [2F12A8] used in Western Blot (WB). GTX60509
GTX60509 WB Image

WB analysis of human Troponin I fast skeletal muscle (AA: 1-182) recombinant protein using GTX60509 Troponin I fast skeletal muscle antibody [2F12A8].

5 / 6
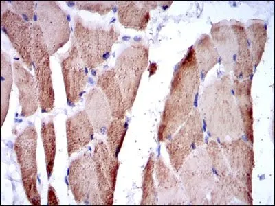
Anti-Troponin I fast skeletal muscle antibody [2F12A8] used in IHC (Paraffin sections) (IHC-P). GTX60509
GTX60509 IHC-P Image

IHC-P analysis of human striated muscle tissue using GTX60509 Troponin I fast skeletal muscle antibody [2F12A8].

6 / 6
Anti-Troponin I fast skeletal muscle antibody [2F12A8] used in ELISA (ELISA). GTX60509
Anti-Troponin I fast skeletal muscle antibody [2F12A8] used in IHC (Paraffin sections) (IHC-P). GTX60509
Anti-Troponin I fast skeletal muscle antibody [2F12A8] used in Flow cytometry (FCM). GTX60509
Anti-Troponin I fast skeletal muscle antibody [2F12A8] used in Western Blot (WB). GTX60509
Anti-Troponin I fast skeletal muscle antibody [2F12A8] used in Western Blot (WB). GTX60509
Anti-Troponin I fast skeletal muscle antibody [2F12A8] used in IHC (Paraffin sections) (IHC-P). GTX60509
  • Host
    Mouse
  • Clonality
    Monoclonal
  • Clone Name
    2F12A8
  • Isotype
    IgG1
  • Applications
    WB IHC-P FCM ELISA
  • Reactivity
    Human, Mouse
See all Troponin I fast skeletal muscle products