Twist1/2 antibody

Cat. No. GTX04942
Cat. No.  GTX04942
Anti-Twist1/2 antibody used in Western Blot (WB). GTX04942
GTX04942 WB Image

WB analysis of various samples using GTX04942 Twist1/2 antibody.
Lane 1 : Rat brain tissue lysate
Lane 2 : Rat ovary tissue lysate
Lane 3 : Mouse brain tissue lysate
Lane 4 : Mouse ovary tissue lysate
Loading : 30 μg
Dilution : 0.5 μg/mL

1 / 9
Anti-Twist1/2 antibody used in IHC (Paraffin sections) (IHC-P). GTX04942
GTX04942 IHC-P Image

IHC-P analysis of human lung squamous cell carcinoma tissue using GTX04942 Twist1/2 antibody.
Antigen retrieval : Heat mediation with EDTA buffer (pH 8.0).
Dilution : 2 μg/ml

2 / 9
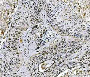
Anti-Twist1/2 antibody used in IHC (Paraffin sections) (IHC-P). GTX04942
GTX04942 IHC-P Image

IHC-P analysis of human lung cancer tissue using GTX04942 Twist1/2 antibody.
Antigen retrieval : Heat mediation with EDTA buffer (pH 8.0).
Dilution : 2 μg/ml

3 / 9
Anti-Twist1/2 antibody used in  (). GTX04942
GTX04942 Image

FACS analysis of 4% PFA-fixed THP-1 cells using GTX04942 Twist1/2 antibody.
Blue : Primary antibody
Green : Isotype control
Red : Secondary antibody
Dilution : 1 μg/1x10⁶ cells

4 / 9
Anti-Twist1/2 antibody used in IHC (Paraffin sections) (IHC-P). GTX04942
GTX04942 IHC-P Image

IHC-P analysis of human penis squamous cell carcinoma tissue using GTX04942 Twist1/2 antibody.
Antigen retrieval : Heat mediation with EDTA buffer (pH 8.0).
Dilution : 2 μg/ml

5 / 9
Anti-Twist1/2 antibody used in Flow cytometry (FCM). GTX04942
GTX04942 FCM Image

FACS analysis of 4% PFA-fixed RH35 cells using GTX04942 Twist1/2 antibody.
Blue : Primary antibody
Green : Isotype control
Red : Secondary antibody
Dilution : 1 μg/1x10⁶ cells

6 / 9
Anti-Twist1/2 antibody used in IHC (Paraffin sections) (IHC-P). GTX04942
GTX04942 IHC-P Image

IHC-P analysis of rat brain tissue using GTX04942 Twist1/2 antibody.
Antigen retrieval : Heat mediation with EDTA buffer (pH 8.0).
Dilution : 2 μg/ml

7 / 9
Anti-Twist1/2 antibody used in Flow cytometry (FCM). GTX04942
GTX04942 FCM Image

FACS analysis of 4% PFA-fixed Raw264.7 cells using GTX04942 Twist1/2 antibody.
Blue : Primary antibody
Green : Isotype control
Red : Secondary antibody
Dilution : 1 μg/1x10⁶ cells

8 / 9
Anti-Twist1/2 antibody used in IHC (Paraffin sections) (IHC-P). GTX04942
GTX04942 IHC-P Image

IHC-P analysis of mouse brain tissue using GTX04942 Twist1/2 antibody.
Antigen retrieval : Heat mediation with EDTA buffer (pH 8.0).
Dilution : 2 μg/ml

9 / 9
Anti-Twist1/2 antibody used in Western Blot (WB). GTX04942
Anti-Twist1/2 antibody used in IHC (Paraffin sections) (IHC-P). GTX04942
Anti-Twist1/2 antibody used in IHC (Paraffin sections) (IHC-P). GTX04942
Anti-Twist1/2 antibody used in  (). GTX04942
Anti-Twist1/2 antibody used in IHC (Paraffin sections) (IHC-P). GTX04942
Anti-Twist1/2 antibody used in Flow cytometry (FCM). GTX04942
Anti-Twist1/2 antibody used in IHC (Paraffin sections) (IHC-P). GTX04942
Anti-Twist1/2 antibody used in Flow cytometry (FCM). GTX04942
Anti-Twist1/2 antibody used in IHC (Paraffin sections) (IHC-P). GTX04942
  • Host
    Rabbit
  • Clonality
    Polyclonal
  • Isotype
    IgG
  • Applications
    WB IHC-P FCM
  • Reactivity
    Human, Mouse, Rat
See all Twist1/2 products