UBA5 antibody

Cat. No. GTX66388
Cat. No.  GTX66388
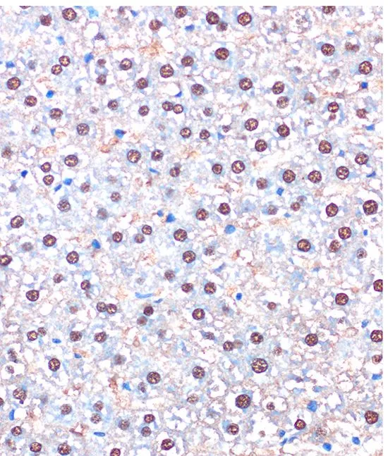
Anti-UBA5 antibody used in IHC (Paraffin sections) (IHC-P). GTX66388
GTX66388 IHC-P Image

IHC-P analysis of rat liver tissue using GTX66388 UBA5 antibody.
Dilution : 1:100

1 / 2
Anti-UBA5 antibody used in Western Blot (WB). GTX66388
GTX66388 WB Image

WB analysis of various sample lysates using GTX66388 UBA5 antibody.
Dilution : 1:1000
Loading : 25μg per lane

2 / 2
Anti-UBA5 antibody used in IHC (Paraffin sections) (IHC-P). GTX66388
Anti-UBA5 antibody used in Western Blot (WB). GTX66388
  • Host
    Rabbit
  • Clonality
    Polyclonal
  • Isotype
    IgG
  • Applications
    WB IHC-P
  • Reactivity
    Human, Mouse, Rat
See all UBA5 products