UBA6 antibody

Cat. No. GTX65920
Cat. No.  GTX65920
Anti-UBA6 antibody used in Western Blot (WB). GTX65920
GTX65920 WB Image

WB analysis of various sample lysates using GTX65920 UBA6 antibody.
Dilution : 1:1000
Loading : 25μg per lane

1 / 4
Anti-UBA6 antibody used in Immunocytochemistry/ Immunofluorescence (ICC/IF). GTX65920
GTX65920 ICC/IF Image

ICC/IF analysis of A549 cells using GTX65920 UBA6 antibody.
Blue : DAPI

2 / 4
Anti-UBA6 antibody used in Immunoprecipitation (IP). GTX65920
GTX65920 IP Image

IP analysis of 293T cell lysate using GTX65920 UBA6 antibody.
Antibody amount : 3μg / 200μg lysate
Dilution : 1:1000

3 / 4
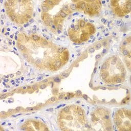
Anti-UBA6 antibody used in IHC (Paraffin sections) (IHC-P). GTX65920
GTX65920 IHC-P Image

IHC-P analysis of human kidney tissue using GTX65920 UBA6 antibody.
Dilution : 1:100

4 / 4
Anti-UBA6 antibody used in Western Blot (WB). GTX65920
Anti-UBA6 antibody used in Immunocytochemistry/ Immunofluorescence (ICC/IF). GTX65920
Anti-UBA6 antibody used in Immunoprecipitation (IP). GTX65920
Anti-UBA6 antibody used in IHC (Paraffin sections) (IHC-P). GTX65920
  • Host
    Rabbit
  • Clonality
    Polyclonal
  • Isotype
    IgG
  • Applications
    WB ICC/IF IHC-P IP
  • Reactivity
    Human, Mouse
See all UBA6 products