UBE1 antibody

Cat. No. GTX66102
Cat. No.  GTX66102
Anti-UBE1 antibody used in Western Blot (WB). GTX66102
GTX66102 WB Image

WB analysis of various sample lysates using GTX66102 UBE1 antibody.
Dilution : 1:3000
Loading : 25μg per lane

1 / 5
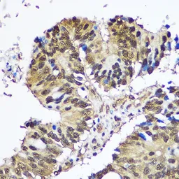
Anti-UBE1 antibody used in IHC (Paraffin sections) (IHC-P). GTX66102
GTX66102 IHC-P Image

IHC-P analysis of human colon carcinoma tissue using GTX66102 UBE1 antibody.
Dilution : 1:100

2 / 5
Anti-UBE1 antibody used in IHC (Paraffin sections) (IHC-P). GTX66102
GTX66102 IHC-P Image

IHC-P analysis of rat liver tissue using GTX66102 UBE1 antibody.
Dilution : 1:100

3 / 5
Anti-UBE1 antibody used in Immunocytochemistry/ Immunofluorescence (ICC/IF). GTX66102
GTX66102 ICC/IF Image

ICC/IF analysis of HeLa cells using GTX66102 UBE1 antibody.
Blue : DAPI
Dilution : 1:100

4 / 5
Anti-UBE1 antibody used in IHC (Paraffin sections) (IHC-P). GTX66102
GTX66102 IHC-P Image

IHC-P analysis of mouse brain tissue using GTX66102 UBE1 antibody.
Dilution : 1:100

5 / 5
Anti-UBE1 antibody used in Western Blot (WB). GTX66102
Anti-UBE1 antibody used in IHC (Paraffin sections) (IHC-P). GTX66102
Anti-UBE1 antibody used in IHC (Paraffin sections) (IHC-P). GTX66102
Anti-UBE1 antibody used in Immunocytochemistry/ Immunofluorescence (ICC/IF). GTX66102
Anti-UBE1 antibody used in IHC (Paraffin sections) (IHC-P). GTX66102
  • Host
    Rabbit
  • Clonality
    Polyclonal
  • Isotype
    IgG
  • Applications
    WB ICC/IF IHC-P
  • Reactivity
    Human, Mouse, Rat
See all UBE1 products