UBE2B antibody

Cat. No. GTX16443
Cat. No.  GTX16443
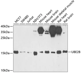
Anti-UBE2B antibody used in Western Blot (WB). GTX16443
GTX16443 WB Image

WB analysis of various sample lysates using GTX16443 UBE2B antibody. The signal was developed with ECL plus-Enhanced.
Dilution : 1:1000
Loading : 25μg per lane

1 / 3
Anti-UBE2B antibody used in IHC (Paraffin sections) (IHC-P). GTX16443
GTX16443 IHC-P Image

IHC-P analysis of rat kidney tissue using GTX16443 UBE2B antibody.
Dilution : 1:100

2 / 3
Anti-UBE2B antibody used in IHC (Paraffin sections) (IHC-P). GTX16443
GTX16443 IHC-P Image

IHC-P analysis of rat lung tissue using GTX16443 UBE2B antibody.
Dilution : 1:100

3 / 3
Anti-UBE2B antibody used in Western Blot (WB). GTX16443
Anti-UBE2B antibody used in IHC (Paraffin sections) (IHC-P). GTX16443
Anti-UBE2B antibody used in IHC (Paraffin sections) (IHC-P). GTX16443
  • Host
    Rabbit
  • Clonality
    Polyclonal
  • Isotype
    IgG
  • Applications
    WB IHC-P
  • Reactivity
    Human, Mouse, Rat
See all UBE2B products