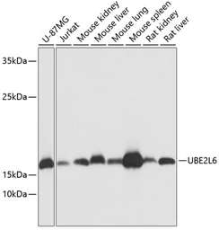
UBE2L6 antibody
Cat. No. GTX66195
                        Cat. No.  GTX66195
                    
                            - 
                                            HostRabbit
- 
                                            ClonalityPolyclonal
- 
                                                IsotypeIgG
- 
                                            ApplicationsWB ICC/IF
- 
                                            ReactivityHuman, Mouse, Rat
 
                                                         
                                                            
                                                        